인일시지분 면백일지우
- 반려동물 건강반려동물Q. 강아지 맑은콧물 비염 에보힐러로 치료가 가능한가요?어떤분께서 강아지가 맑은콧물이 낫지를 않으니 병원에서 에보힐러 약을 처방해줬다는데 이거로 비염 증상을 잡을수가 있나요? 제가 알기론 에보힐러는 천식치료제인데 비염 잡을때도 쓸수도있는건가요?해당 사진은 보호자분이 직접 올리신 사진입니다강아지 비염 증상이 맑은콧물 증상이 거의 8개월째이라 이거 효과가 조금이라도 있다면 한번 해보고 싶네요..참고로 ct 세균검사 호흡기pcr 비강내시경 조직검사등 알러지검사 곰팡이검사 폐,심장 등 안해본거없습니다.
- 영양제약·영양제Q. 초록입홍합 갑상선에 안좋을까요? 아시는분 단한분도 안계실까요?그리고 한국엔 요오드 측정 해주는 기관이 단한곳도 없다는데 사실인가요?어떤분은 초록입홍합 오일 형태로 된거 드시고 갑상선 항진증 오셨다던데 요오드가 아주 소량 들어도 위험한걸까요? 확실히 아시는분 혹시 계실까요? 속시원하게 답변해주실분 계실까요? ㅠㅠ 왜 초록입홍합 을 굳이 먹으려 하느냐하고 물으신다면 관절에 좋다고해서요.. 디스크에.. 근데 갑상선 안좋은데 요오드때문에 안좋다하면 굳이 안먹으려구요.. 많은 의견들 부탁드립니다..
- 식습관·식이요법건강관리Q. 초록입홍합 갑상선에 안좋을까요? 아시는분 단한분도 안계실까요?그리고 한국엔 요오드 측정 해주는 기관이 단한곳도 없다는데 사실인가요?어떤분은 초록입홍합 오일 형태로 된거 드시고 갑상선 항진증 오셨다던데 요오드가 아주 소량 들어도 위험한걸까요? 확실히 아시는분 혹시 계실까요? 속시원하게 답변해주실분 계실까요? ㅠㅠ 왜 초록입홍합 을 굳이 먹으려 하느냐하고 물으신다면 관절에 좋다고해서요.. 디스크에.. 근데 갑상선 안좋은데 요오드때문에 안좋다하면 굳이 안먹으려구요.. 많은 의견들 부탁드립니다..
- 영양제약·영양제Q. igepal CO - 630 에 대해 자세히알려주세요심장병 갑상선 고혈압 부신 담낭 다 안좋은 환자(어린이)가 소량이라도 이 성분이 좋은지 안좋은지 알고 싶습니다. igepal CO - 630 이 개면활성제라고는 알고 있는데 구체적으로 뭐로 만들어진건지... 나트륨의 형태인지 전혀 몰라서 알려주실분 계신가요?
- 반려동물 건강반려동물Q. 이중에 강아지 갑상선 부신 담낭슬러지 심장병 신장결석 있으면 피해야 할 성분이 있다면 알려주세요박하유후레바비-2115시트르산나트륨수화물인산수소나트륨수화물효소처리스테비아농글리세린수산화나트륨이게팔코 630
- 기타 영양상담건강관리Q. 초록입홍합이 갑상선 환자한테 어떤가요? 갑상선암이나, 항진증, 저하증 환자들에게 초록입홍합이 어떤가요? 요오드가 들어가있나요? 들어가있다면 얼마초록입홍합이 갑상선 환자한테 어떤가요?갑상선암이나, 항진증, 저하증 환자들에게 초록입홍합이 어떤가요? 요오드가 들어가있나요? 들어가있다면 얼마나 들어가있나요? 그리고 초록입홍합 분말과 오일도 역시 다르던데 오일 같은 경우 요오드가 들어가있을지..도 궁금합니다. 디스크 때문에 그러는데요.. 이 디스크 제품에 초록입홍합이 들어가서 요오드는 피하고 싶어서 질문 드립니다..
- 식습관·식이요법건강관리Q. 초록입홍합이 갑상선 환자한테 어떤가요?갑상선암이나, 항진증, 저하증 환자들에게 초록입홍합이 어떤가요? 요오드가 들어가있나요? 들어가있다면 얼마나 들어가있나요? 그리고 초록입홍합 분말과 오일도 역시 다르던데 오일 같은 경우 요오드가 들어가있을지..도 궁금합니다. 디스크 때문에 그러는데요.. 이 디스크 제품에 초록입홍합이 들어가서 요오드는 피하고 싶어서 질문 드립니다..
- 약 복용약·영양제Q. 질문ppm 단위 관련 질문 총 30mL 이고 .. 칼슘이 20 ppm 이면 총 칼슘이 몇 mg 이라는건가요?질문ppm 단위 관련 질문 총 30mL 이고 .. 칼슘이 20 ppm 이면 총 칼슘이 몇 mg 이라는건가요? 헷갈리네요......
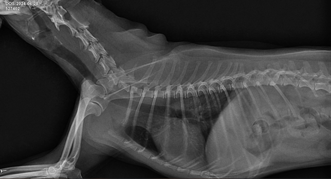
- 반려동물 건강반려동물Q. 강아지 허리 디스크 ct 사진 첨부합니다.. 재질문합니다..한달에 한번 주기로 깨갱 거리면서 특히나 혼자 붕가붕가하고 나서 그러는데요허리 디스크가 어느정도 상태인지 그리고 붕가붕가를 평생 못하게해야하는건지.. 알려주시면 감사하겠습니다....T4-6 vertebrae의 Rt. caudal articular process의 defect 확인됩니다. (→)• T13-L1 vertebrae의 IVDS(intervertebral disc space)가 주변에 비해 좁게 확인됩니다.T13-L1 vertebrae의 IVDS가 주변에 비해 좁게 확인되어 IVDD 가능성고려됩니다.
- 반려동물 건강반려동물Q. 선생님 저희 강아지 허리디스크가 어느정도인가요?한달에 한번 주기로 깨갱 거리면서 특히나 혼자 붕가붕가하고 나서 그러는데요 허리 디스크가 어느정도 상태인지 그리고 붕가붕가를 평생 못하게해야하는건지.. 알려주시면 감사하겠습니다....
- + 1