아하
  • 토픽

  • 스파링

  • 잉크

  • 미션


의료상담

대단히만족스러운카네이션

대단히만족스러운카네이션

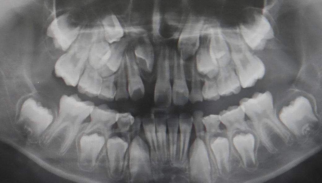
만8세아이 치아좀봐주세요. 앞니 한개가 안나오고있어요

만으론 8세이긴하지만 이제 초3올라갑니다

부정교합이 있어요 그건크면해줘야지 했는데

문제는 앞니한개가 안나오고있어요

앞니가 안나와서 2년전부터 치과다니기시작했는데

교정으로 벌려주는 작업했다가.그만두고 앞니옆이빨부터 내려오길기다리자해서 몇개월기다렸는데

그옆이빨이 먼저나오고 앞니는도저히 안내려올꺼같다고 잇몸찢어서 나올수있겠금 해야될꺼같다. 근데 것도 제자리로나오는게아니 완전 덧니 처럼 나오고

나오면 밑에 벌려주는 공간을만들고 교정해야될꺼같다고하시네요. 부정교합도 같이 교정하고

근데 그옆송곳니도 이상하대요ㅜㅜ 아진짜

아이 치아 보셨을때 어떻게해야되는게 최선일까요

의사선생님들 도와주세욤

이럴경우 교정보험은되나요ㅜㅜ

돈도장난아닐꺼같은데ㅜㅜ

  • 1번 째 사진

2개의 답변이 있어요!

  • 안상우 치과의사

    안상우 치과의사

    목동안치과의원

    안녕하세요. 안상우 치과의사입니다.

    현재 11번 치아가 정상적으로 맹출되지 않고 있으며 오른쪽위의 송곳니 또한 맹출경로가 비정상적으로 보입니다.

    성장기 교정으로 치아가 올라올수 있는 공간을 만들어줘야 할것으로 생각되며 오른쪽앞니의 경우에는 수술을 통한 견인이 필요할것으로 보입니다.

    정확한 확인을 위해서 소아치과에서 진료를 받아 보는것을 권유드립니다.

  • 안녕하세요. 최석민 치과의사입니다.

    1. 공간이 부족하고 이미 잇몸뼈 안에서 치배상태에서부터 회전되어 있기 때문에 저 상태로는 나오기 어렵고, 교정치료로 적극 개입이 필요해보입니다.

    2. 보험안됩니다.