의료상담
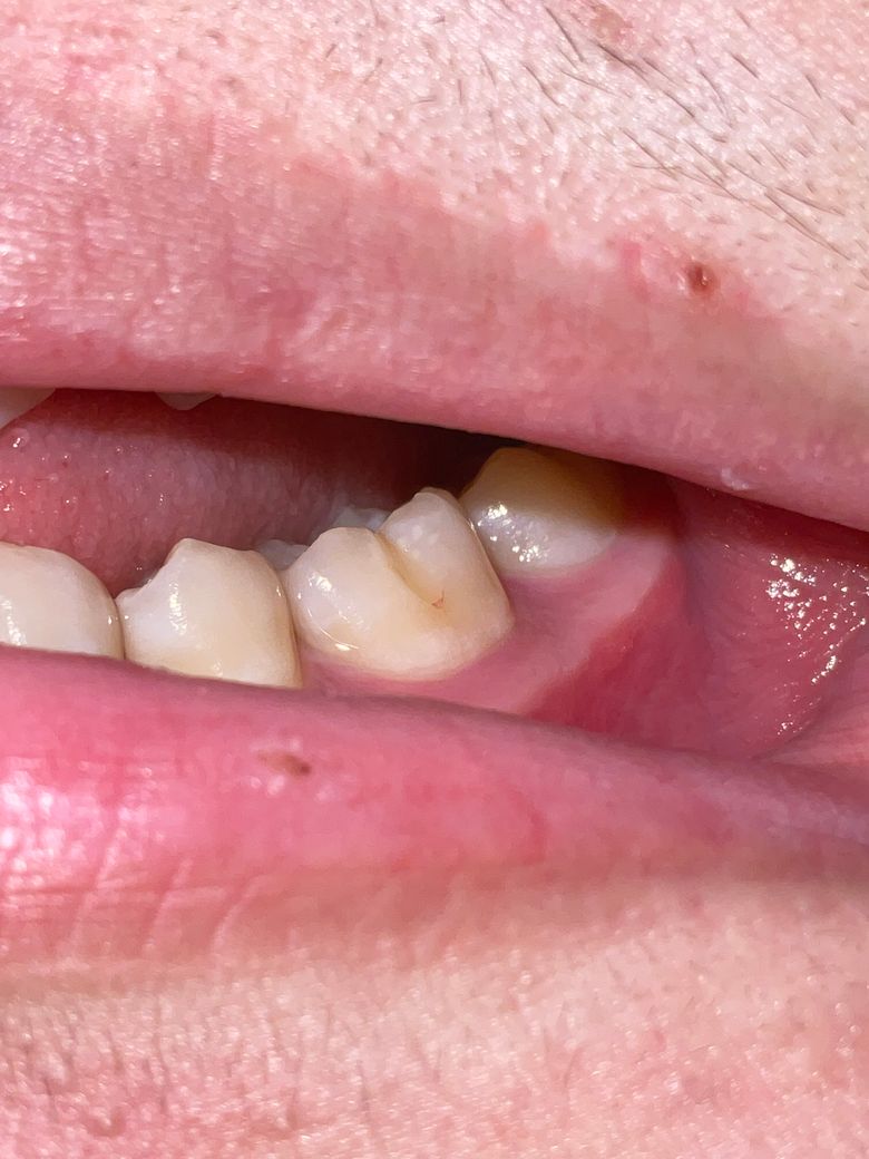
치아에 흠집이 났는데 문제가 될 수 있을까요?
붉은 색 같기도 하고 갈색 같기도 한데 뭔가 있는건 분명하고
양치를 방금 마친 상태여서 뭔가가 묻은 건 아닙니다..
이게 뭐죠?? ㅠㅜ
55글자 더 채워주세요.
4개의 답변이 있어요!
안녕하세요. 정진석 치과의사입니다.
정확한 판단을 위해서 치과 방문이 필요해보입니다. 통증이나 불편감이 있는지에 따라 다를 것으로 보이나 현재 사진만으로는 정확한 판단이 어렵습니다. 따라서 불편감이 있거나 색이 너무 다르다고 생각이 된다면 치과 방문 후 평가를 받아보는 것이 필요합니다.
아무쪼록 저의 답변이 문제 해결에 작게 나마 도움이 될 수 있기를 기원드립니다. 항상 건강하고, 행복하세요^^
정진석 치과의사 드림
안녕하세요. 김철진 치과의사입니다.
예전에 치료 받으신 부위가 착색된게 아닐까 생각됩니다. 크게 문제가 되는건 아니니 걱정하지 않으셔도 됩니다.
안녕하세요. 김지훈 치과의사입니다.
사진상으로는 치료받았던 치아의 일부분에 착색이 된것으로 보입니다.
착색의 경우 충치는 아니기 때문에 치료를 받지않으셔도 되지만 많이 거슬리면 제거 후 다시 충전할 수 있습니다.
안녕하세요. 장인아 치과위생사입니다.
갈색은 치아변색으로 보이고 가운데 부위는 미세한 손상이 있는것 같습니다.
관리 잘하면 문제가 되지는 않을것 같습니다.
도움이 되기를 바랍니다. 건강하세요.

