아핫뉴스실시간 인기검색어
아핫뉴스 화산 이미지
아하

의료상담

치아 관리

상냥한박쥐31
상냥한박쥐31

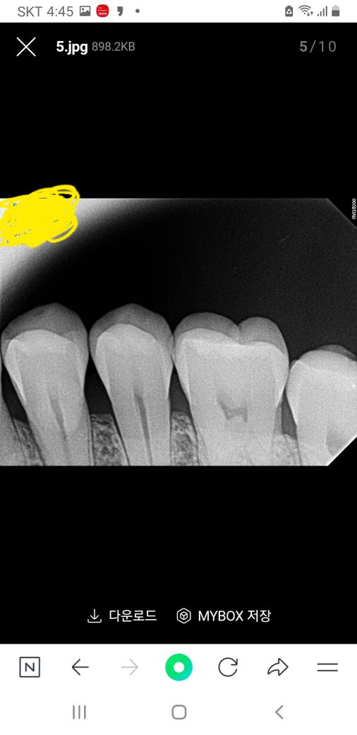
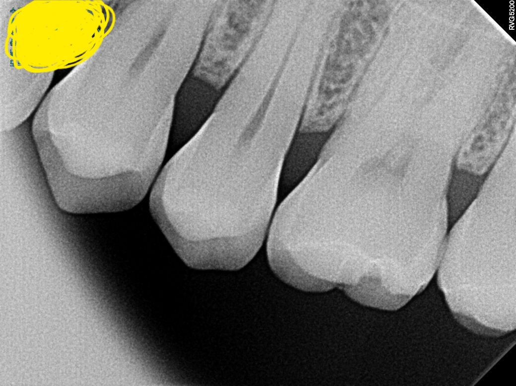
치근단사진좀 살펴봐 주세요. (치식과 충치여부)

치아 치근단사진 에서 보이는 치아가 몇번 (치식)

인지요? 충치나 파절이 있는지 궁금합니다.

겉으로는 검은색이 보이는데 오른쪽 위 뒤에서 세번째.

치근단사진상 보이는 것이 있는지요?

  • 1번 째 사진
  • 2번 째 사진
  • 3번 째 사진
55글자 더 채워주세요.
3개의 답변이 있어요!
  • 안녕하세요. 김철진 치과의사입니다.

    엑스레이 상으로는 치아 사이는 크게 충치가 잇어 보이진 않습니다. 사진에서 보이는 큰 어금니의 씹는면은 약간 깨진부위가 잇는거 같습니다.

  • 안녕하세요. 안상우 치과의사입니다.

    교익 사진으로만 봤을 경우에는 큰 충치가 보이지는 않습니다.

    하지만 육안상으로 보이는 충치가 있을 수 있기 때문에 정확한 확인을 위해서는 치과에서 진료를 받아 보는 것이 좋습니다.

  • 안녕하세요. 최석민 치과의사입니다.

    25번 치아이고 방사선사진상 충치나 파절은 보이지 않습니다

    육안으로 보이는 검은색 선은 초기충치일 가능성이 있습니다

PC용 아하 앱 설치 권유 팝업 이미지장도연이 추천하는 아하! 앱으로 편리하게 사용해 보세요.
starbucks
앱 설치하고 미션 완료하면 커피 기프티콘을 드려요!