아핫뉴스실시간 인기검색어
아핫뉴스 화산 이미지
화산 아이콘 11
안성기 건강 악화
많이 본
아하

의료상담

치과

현재도신중한닭꼬치
현재도신중한닭꼬치

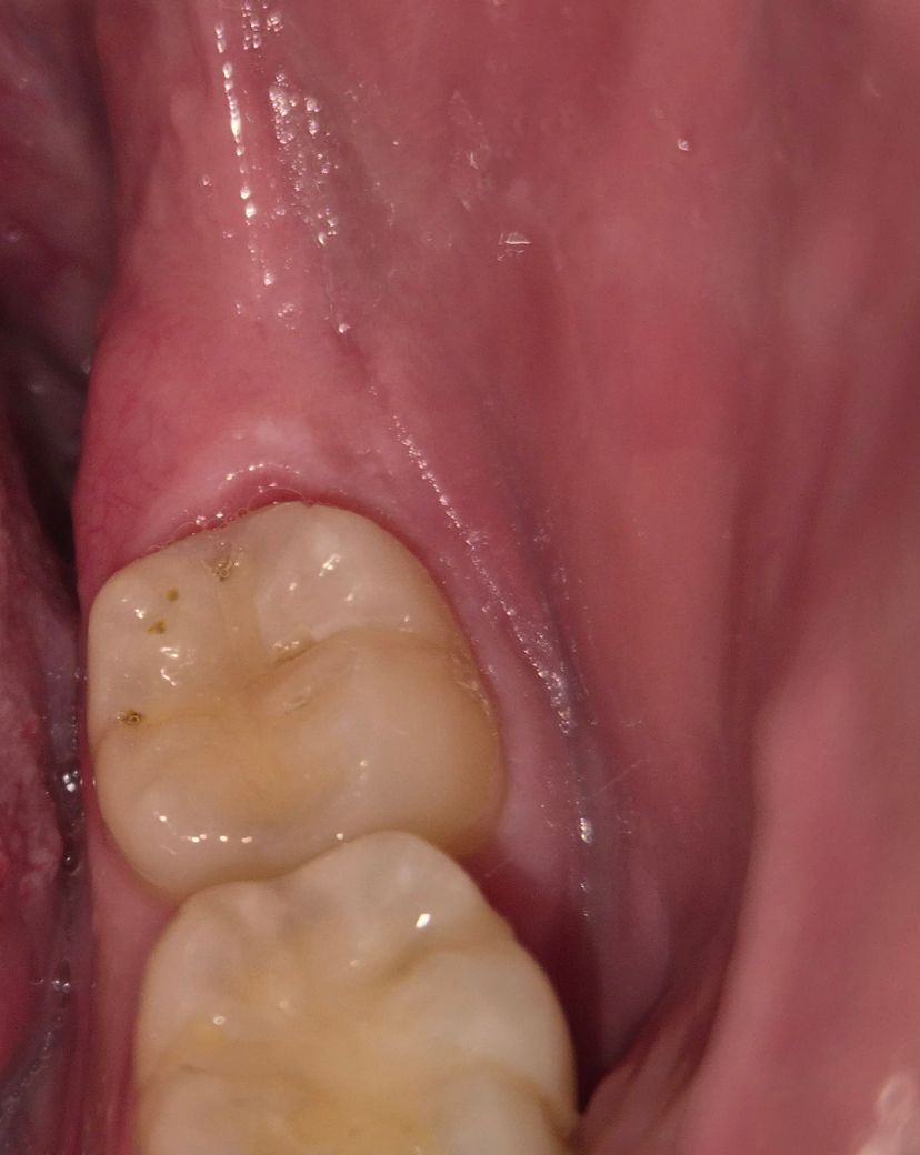
치아에 작은 구멍이 나있습니다 ㅠㅠ 이정도면 어느정도까지 치료할까요?

사진에 보이는것처럼 작은 구멍들이 어금니에 생겨 있습니다. 통증은 크게 없습니다.

병원가보려는데 신경치료까지 해야할까요?

  • 1번 째 사진
4개의 답변이 있어요!
  • 안녕하세요. 김철진 치과의사입니다.

    신경치료까지는 하지 않을것같고 간단히 제거하고 레진으로 하셔도 될것같으니 치과에 가셔서 검진을 받아보세요.

    1명 평가
  • 안녕하세요. 최석민 치과의사입니다.

    사진으로 봐서 정확하진 않으나 떼우는 치료로 가능할 것 같습니다 구멍이 있으면 위생관리가 어렵고 침이 고여 충치가유발될 수 있습니다

    1명 평가
  • 안녕하세요. 송우식 치과의사입니다.

    이정도는 작은 충치입니다. 그 부위만 바로 떼울 수 있습니다. 실제로 보면 더 작을 경우 그냥 두는 경우도 있습니다. 치과에 가서 상담하는 것을 추천합니다.

  • 안녕하세요. 김지훈 치과의사입니다.

    신경치료까지 필요할 것 같지는 않습니다. 착색일 수도 있어보이니 치과 가보시는 게 좋겠습니다.