아하
  • 토픽

  • 스파링

  • 잉크

  • 미션


의료상담

가장장

가장장

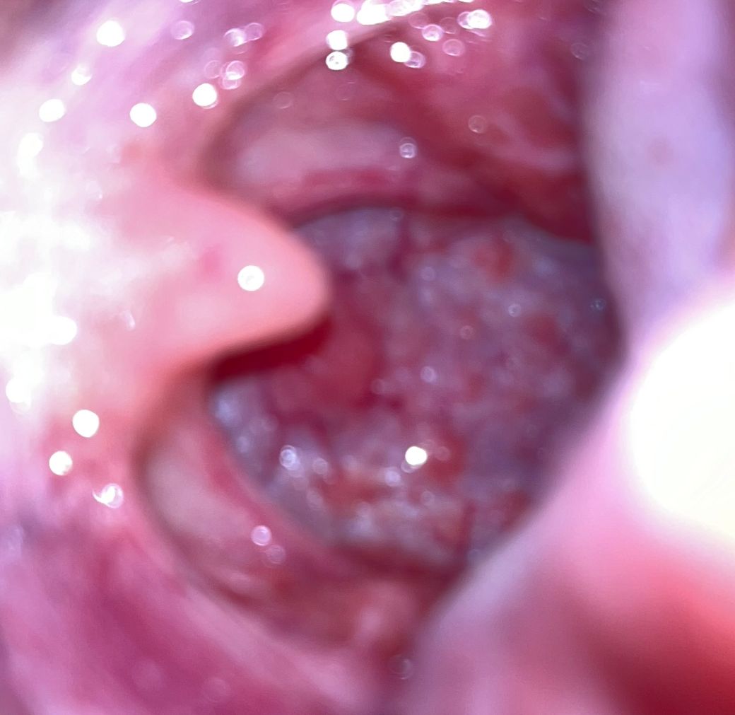
입안 에 이상한게 있습니다.. 딱딱해요

성별

남성

나이대

16

입안에 이상한게 있음니다 1년~6개월 동안 그대로 임니다 뛰어나와 있습니다 모새혈관이 화강 되어 있음니다 뭐인지 궁금합니다 의사 선생님들 부탁드려요

  • 1번 째 사진
  • 2번 째 사진
  • 3번 째 사진

아직 답변이 없어요.