아하
  • 토픽

  • 스파링

  • 잉크

  • 미션


의료상담

압도적으로믿음직한꽃게탕

압도적으로믿음직한꽃게탕

25.03.23

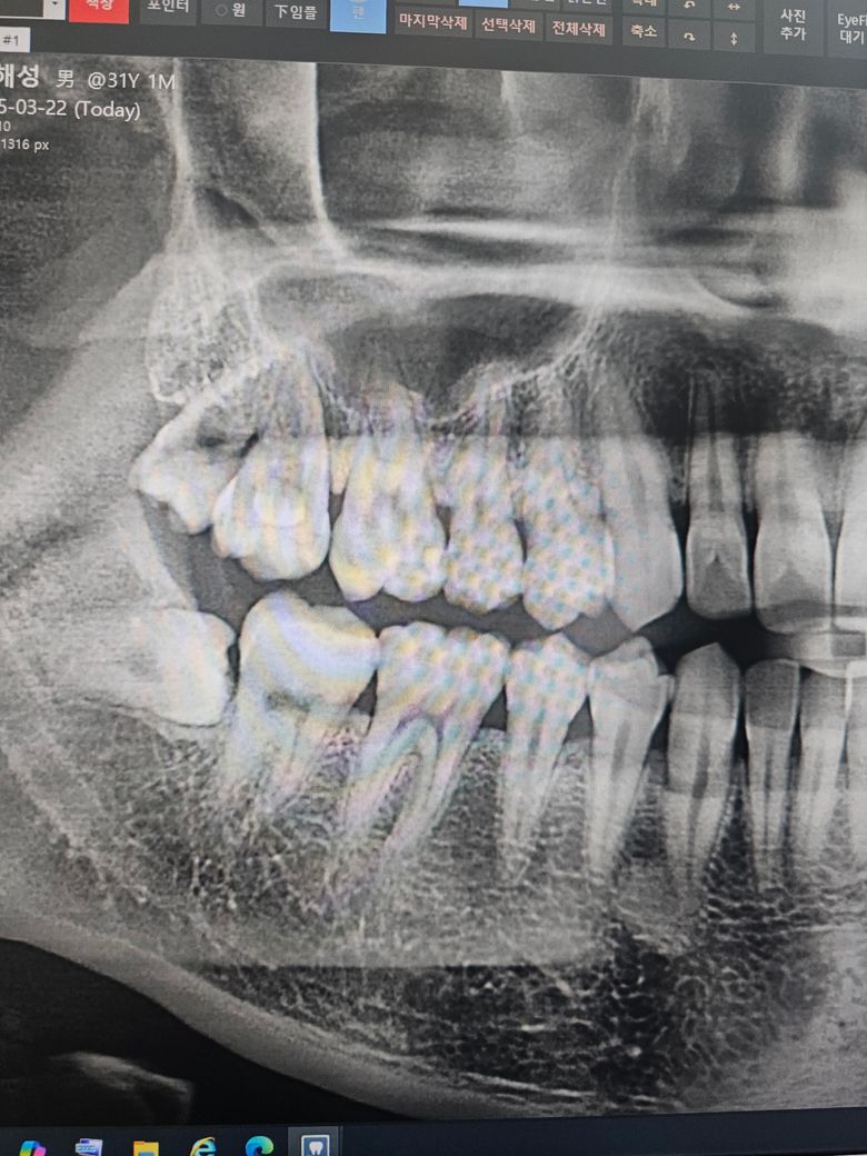
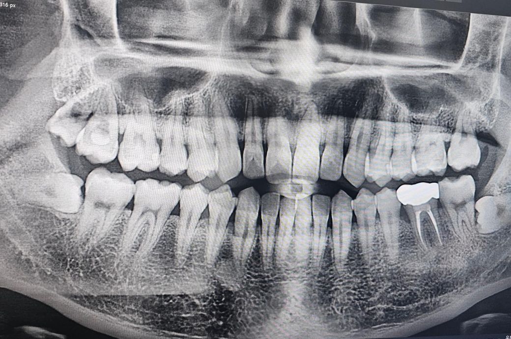
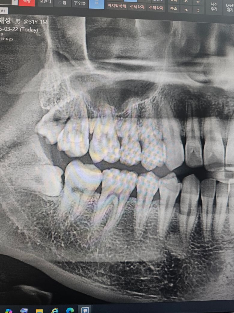
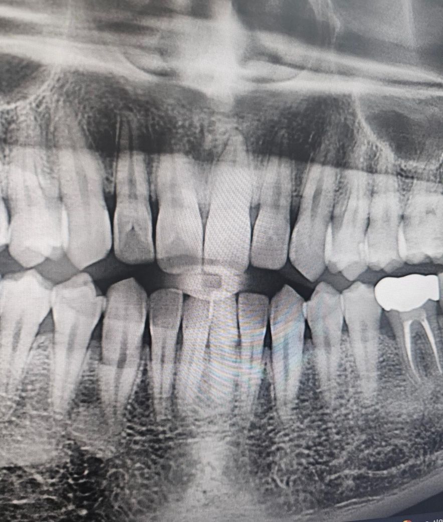
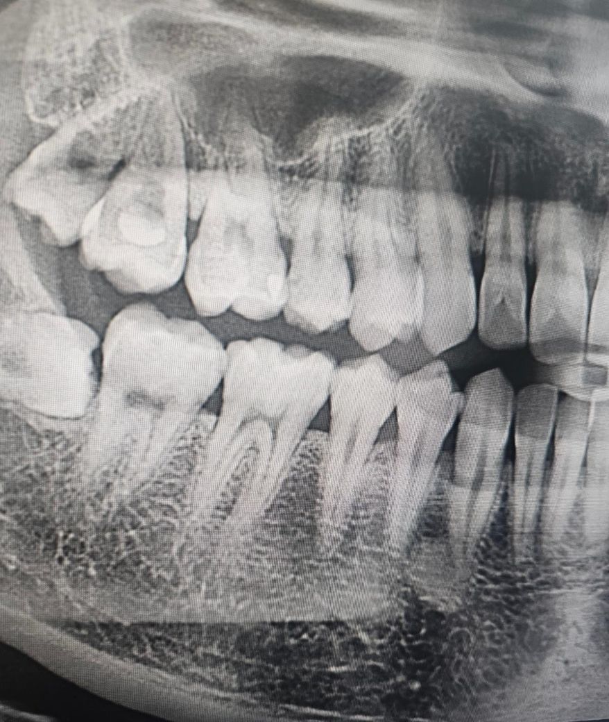
인접면충치 전문가분들의 의견이 궁금합니다

첫번째 병원

크라운5개+인레이4개(4개중3개는 크라운권장)+레진+잇몸치료+윗쪽 왼쪽 사랑니 발치

두번째병원

대부분 레진 인레이(그중 하나는 크라운할수도) +잇몸치료+사랑니발치

첫번째병원에선 즉 크라운7~8개를 하라고하셨는데 내이빨을 너무 많이 갈아내야 하는게 아닌가... 싶고

두번째병원에선 의사마다 견해와 처방이 다르다 이전병원은 충치인지 아닌지 약간만 의심되도 일단 갈아내고 없애야한다는 판단인거같다고 말씀하셨고 두번째병원에서는 인접면충치가 확인하기 힘들 뿐더러 갈아냈는데 충치가 아닐수도있다~ 라고 애매모호하게 말씀하셨어요

전문가분들이 보시기에 어떤것같나요?

어떤유튜버는 인레이도 하지말고 인접면충치도 레진으로 해야한다 그러고

어떤의사는 크라운 7~8개 해야한다 그러고

어떤의사는 크라운1개정도에 레진 인레이로 하자고 그러시고..

현재 오른쪽 아랫니 (아마46번?) 빼고는 시리거나 아픈건 없습니다

저는 제 치아를 오랫동안 잘 쓰고 싶은데

어떤 처방이 적절할지 전문가분들의 의견이 궁금합니다

  • 1번 째 사진
  • 2번 째 사진
  • 3번 째 사진
  • 4번 째 사진
  • 5번 째 사진
  • 6번 째 사진
  • 7번 째 사진
  • 8번 째 사진
  • 9번 째 사진
  • 10번 째 사진

4개의 답변이 있어요!

  • 김지훈 치과의사

    김지훈 치과의사

    메가

    25.03.23

    안녕하세요. 김지훈 치과의사입니다.

    정확한 질문을 이해하진 못하겠습니다. 인레이를 통해 치료하는 것이 레진보다 안좋은 것은 아닙니다.

  • 안녕하세요. 김철진 치과의사입니다.

    두번째 치과에서 하신 말씀이랑 다들 비슷한 의견일꺼에요. 치과의사마다 치료 하는 방법이 다르기 때문에 어떤게 옳다고 말씀드리기가 어렵습니다. 사진상으로 인접면에 충치가 없는건 아니고 의심되는 치아들이 많이 보이긴하니 계속해서 의심이 드신다면 불편한 치아만 치료를 먼저 하시고 나머지는 지켜보시면될것같습니다.

  • 안녕하세요. 안상우 치과의사입니다.

    사진으로만 보기에는 큰충치가 보이지는 않습니다.

    정확한 확인을 위해서는 육안으로도 봐야 알수 있을것으로 생각됩니다.

    자세한 확인을 위해서 치과에서 진료를 받아보는 것을 권유드립니다.

  • 안녕하세요. 최석민 치과의사입니다.

    1. 진단과 관련해선 확인을 원하신다면 대학병원 보존과 내원을 한번 해보시는 것도 좋습니다.

    2. 옆면 충치에 대해 인레이, 레진, 크라운을 어떻게 할지는 치과의사의 가치관에 따라 다릅니다. 꼭 뭐가 맞다 이렇게 정해진 건 없습니다.

    3. 다만, 각 치료방식마다 한계가 존재합니다.

      1) 레진의 경우 레진 재료 자체의 한계로 술후 민감증이 있을 수 있고 아주 정밀하게 안된다면 음식물이 잘 낄 수 있습니다. 정교하게 인접면 컨택을 만들기가 어렵기 때문입니다

      2) 인레이의 경우 금인레이는 치아 크랙을 유발할 수 있고, 전도율이 치아와 달라 차가운 음식이나 뜨거운 음식에 시릴 수 있습니다.

      3) 크라운은 치아를 깎는 양이 레진이나 인레이보다 많습니다.