의료상담
55글자 더 채워주세요.
3개의 답변이 있어요!
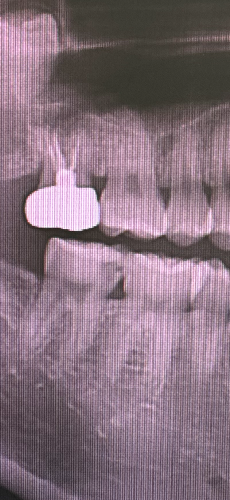
안녕하세요. 김지훈 치과의사입니다.
사진상으로는 치료가 필요한 치아이며 인레이치료를 해야할 것으로 보입니다.
충치가 멈췄다기엔 진행이 너무 많이 되었습니다.
안녕하세요. 김철진 치과의사입니다.
치아 사이에 충치가 굉장히 심하신거 같습니다. 저정도 충치라면 신경치료를 해야될 가능성이 높아 보입니다.
안녕하세요. 최석민 치과의사입니다.
정지우식이라 할지라도 방사선사진상에서 저정도로 보인다면 이미 치아(치질)가 파괴된 것이 옆쪽으로 보일 정도로 추정됩니다
가능하면 치료를 해주는 것이 더 심한 치아 파괴를 막는데 좋을 것 같습니다

