아하
  • 토픽

  • 스파링

  • 잉크

  • 미션


의료상담

비상하는 올빼미862

비상하는 올빼미862

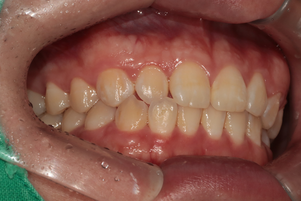
상악이나 하악이 정상범주에서 벗어났나요?

1.상악이나 하악이 정상범주에서 벗어났나요?

2.장기적으로 봤을때 치료나수술을 해야하나요?

3.정상범주 판단기준이 뭔가요? 교합이 맞으면 정상범주내라고 보나요?

  • 1번 째 사진
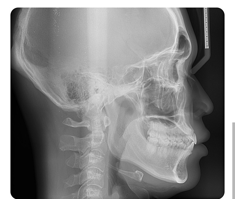
  • 2번 째 사진
  • 3번 째 사진

2개의 답변이 있어요!

  • 김철진 치과의사

    김철진 치과의사

    가까운우리치과

    안녕하세요. 김철진 치과의사/경제·금융전문가입니다.

    1.상악이나 하악이 정상범주에서 벗어났나요?

    -교정분석을 하신거 같은데 교정상담을 받은치과에 다시 문의해보세요.

    일반적으로 치아 배열이나 골격등의 위치를 평균적으로 내놓은 수치가 있습니다. 이 수치와 비교해서 판단을 할수 있습니다.

    2.장기적으로 봤을때 치료나수술을 해야하나요?

    -치아의 배열이나 골격구조때문에 불편감이 있다면 교정을 하시는게 좋습니다.

    3.정상범주 판단기준이 뭔가요? 교합이 맞으면 정상범주내라고 보나요?

    -치아의 크기나 배열, 골격등의 성장정도를 평균치에 비교하는겁니다.

  • 안녕하세요. 정진석 치과의사입니다.

    1. 상악과 하악을 비교했을 때, 상악 저성장으로 보입니다. 다만 정확한 것은 교정치과 방문 후 상담이 필요합니다.

    2. 교정 및 안모 그리고 심미는 본인이 이를 불편하지 않으면 치료를 하지 않아도 됩니다. 치열 자체도 문제가 되지 않으므로 본인이 심미적으로 불편하지 않으면 치료하지 않아도 됩니다.

    3. 단순 교합 뿐만 아니라 상악과 하악골의 관계를 파악하게 되며 여러가지 계측점이 있습니다. 치과의사 선생님이나 교정선생님에 따라 계측점이 다르므로 현재 치료하시는 치과 방문 후 선생님과 상담이 필요합니다.

    아무쪼록 저의 답변이 문제 해결에 작게 나마 도움이 될 수 있기를 기원드립니다. 항상 건강하고, 행복하세요^^

    정진석 치과의사 드림