아핫뉴스실시간 인기검색어
아핫뉴스 화산 이미지
화산 아이콘 11
스트래티지 비트코인 매입 중단
많이 본
아하

의료상담

치과

태백산팝콘
태백산팝콘

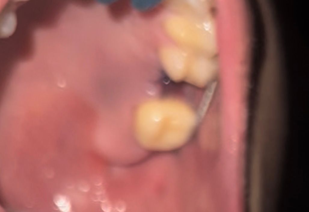
뼈이식 염증 (상악동거상술) 수술 3일차

안녕하세요 뼈이식 거상술 수술을 받은지 3일차인대 침삼키면 피맛이 자꾸나고 수술받은곳 주위에 하얀색과 안쪽잇몸이 많이 부었는데 치유되는 자연스러운 현상일까요? 아니면 염증이발생한걸까요 통증은 없습니다 이빨빈곳이 뼈이식한곳인데 뒤에까지 하얗게 부어서 질문드립니다 ㅠㅠ!

  • 1번 째 사진
2개의 답변이 있어요!
  • 수술받은지 3일차인 경우 붓고 피맛이 나는 것은 정상이며, 해당부위 사진상 문제가 되어 보이지 않기에 걱정하지 않으셔도 됩니다.

    궁금증 해소에 도움이 제 답변이 도움이 되셨길 바라며, '👍' 눌러주시길 부탁드립니다.

  • 안녕하세요 치과의사 김철진입니다. 상악동 거상술을 받고나서 아직 상처가 다 아물지 않앗기 떄문에 그럴수 있습니다. 상처가 치유되면 괜찬항 질꺼니 너무 걱정하지 마세요.