아핫뉴스실시간 인기검색어
아핫뉴스 화산 이미지
화산 아이콘 11
민희진 뉴진스 가족 폭로
아하

의료상담

치과

역대급희망을가진랩터
역대급희망을가진랩터

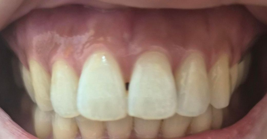
교정한 뒤로 윗앞니가 이상해요 사이도 벌어지고

위쪽 교정한지 11년째인데 3년전부터 앞니 사이에 구멍?같은게 생기기 시작하고 앞니가 점점 위로 길어지는거같아요ㅠㅠ

잇몸이 사라진건가요?ㅠㅠ 아니면 앞니가 앞으로 나오면서 모양이 변한걸까요ㅠ

앞니 사이 구멍은 왜생기는걸까요?

교정치과에서는 앞니 사이를 갈아서 넣자고 하던데 생치아를 갈아내는게 찝찝해서 안한다했어요

생치아를 갈아서 넣어서 교정해도 장기적으로 치아에 무리가 가거나 하진 않나요?

  • 1번 째 사진
4개의 답변이 있어요!
  • 안녕하세요. 김지훈 치과의사입니다.

    교정치료 부작용중 하나로 잇몸이 내려가서 그렇습니다. 갈아서 넣는 것이 장기적으로 안좋긴합니다.

    1명 평가
  • 안녕하세요. 최석민 치과의사입니다.

    치간유두라고 하는 잇몸 부위가 퇴축된 것이고, 교정 후 흔히 생기는 부작용(블랙 트라이앵글)입니다.

    교정치과에서 말한 치아에 대한 조정도 한가지 방법이고, 아니면 잇몸 재생 관련하여 가능성은 높지 않지만 잇몸치료, pdrn주사 등을 시도해볼 수 있습니다.

    1명 평가
  • 안녕하세요. 김철진 치과의사입니다.

    사진에 보이는건 블랙트라이 앵글이라고 합니다. 잇몸이 내려가면서 공간이 까많게 보여서 그러는겁니다.

    1명 평가
  • 안녕하세요. 안상우 치과의사입니다.

    잇몸이 내려가게 되면 치아 사이에 공간이 보이는 블랙 트라이앵글증상이 나타날수 있습니다. 치아가 정출되는 경우에도 생길수 있습니다. 치조골이 내려가거나 치아가 정출되는 원인을 확인할수 있어야 증상이 심해지는것을 방지할수 있습니다.