아하
  • 토픽

  • 스파링

  • 잉크

  • 미션


의료상담

종종푸근한단풍나무

종종푸근한단풍나무

25.05.29

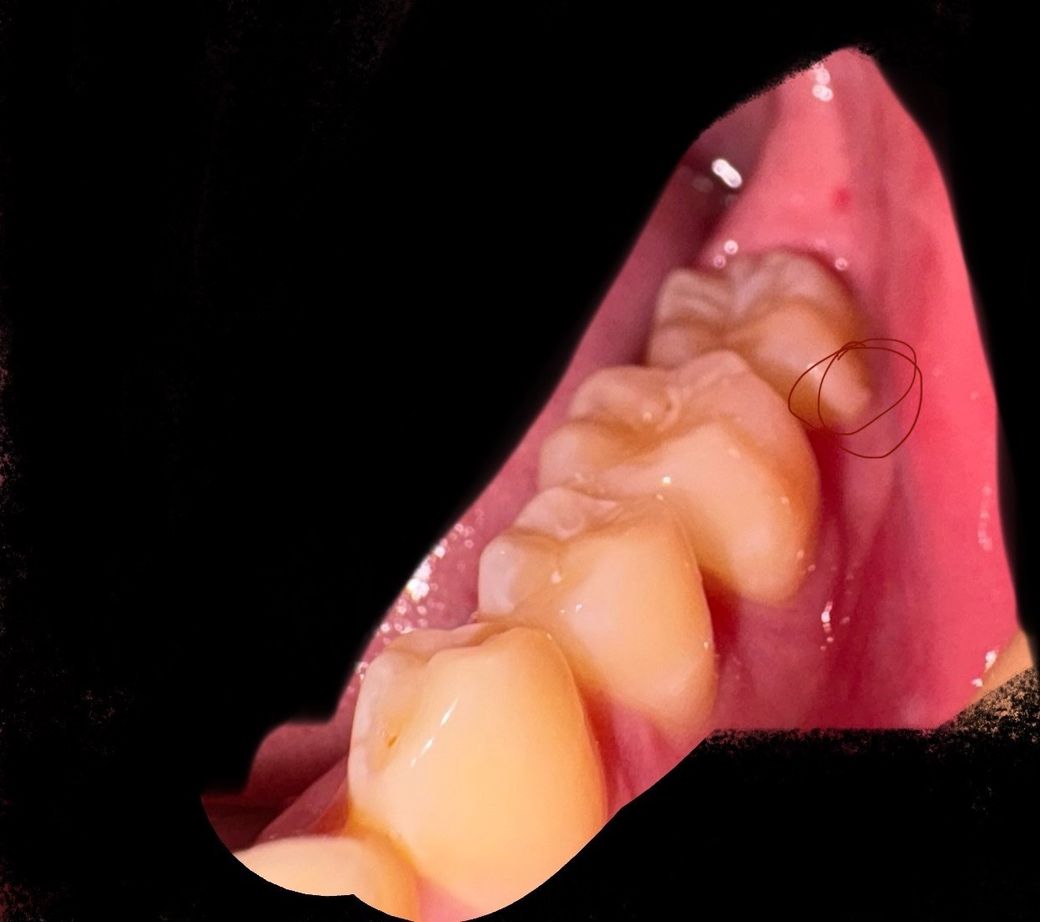
맨 끝 어금니가 살짝 시린느낌인데 이거 왜그런가요

맨끝 어금니가 자세히 안보여서 모르겠지만 느낌상으로 말해보면 돌기 같이만져지면서 겉면이 거칠고 어금니 하나에만 냉기가 드는 느낌인데 이빨이 깨진건가요? 반대편 어금니도 살짝 돌기 비스무리한게 있긴합니다

  • 1번 째 사진

3개의 답변이 있어요!

  • 김철진 치과의사

    김철진 치과의사

    가까운우리치과

    25.05.29

    안녕하세요. 김철진 치과의사입니다.

    잇몸에 염증이 있어서 그러는거 같으니 치과에 가셔서 스켈링 및 잇몸치료를 받으시면될것같습니다.

  • 안녕하세요. 안상우 치과의사입니다.

    사진으로는 정확한 확인이 어려워 보입니다. 치아가 파절되었거나 충치가 생겼을수 있으니 자세한 확인을 위해서 치과에서 진료를 받아보는 것을 권유드립니다.

  • 안녕하세요. 최석민 치과의사입니다.

    1. 사진상으로는 저 튀어나온 구조물이 정확히 뭔지는 파악이 어렵습니다

    2. 치석이라면 제거가 필요한데 치석처럼 생기지는 않았네요

    3. 전반적으로 잇몸이 내려가있습니다. 튀어나온 구조물과 상관없이 잇몸 퇴축으로 치아가 시린 것 같습니다.

    4. 바람을 씨익 넣어봤을때 특정 치아가 시리다면 파절이나 충치양상일 수도 있습니다.