홈
토픽
스파링
잉크
미션
전문가 신청
베리몰
나도 질문하기
의료상담
날아라하마
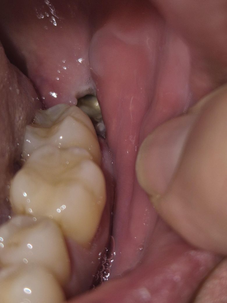
매복사랑니를 5일전에 뽑았는데, 통증이 오늘부터 좀 심한거같습니다.
혹시 드라이소켓이나 다른 부작용일까요
욱씬욱씬 통증이 있고 입을 벌릴때도 아프네요..
사진 다시찍어 첨부드립니다..
사진 보기
6개의 답변이 있어요!
송우식 치과의사
솔플란트치과 경기도 성남시 모란역
∙
현재 잘 아물고 있는 것으로 보이며, 드라이소켓이 생긴 것은 아닙니다. 발치후에 1-2주간은 붓기, 통증 및 불편감이 나타날수 있기에 통증이 있는 경우 소염진통제 복용을 권합니다.
궁금증 해소에 도움이 되시길 바라며, 도움이 되신 경우 '👍 ' 눌러주길 부탁드립니다.
평가
응원하기
김지훈 치과의사
메가
발치 한 후 통증 등 증상이 지속 된다면 염증 가능성이 있어요. 사랑니 뺐던 치과에 가셔서 정확한 치과 진료를 받아 보는 것이 좋아보입니다.
정진석 치과의사
대학병원 통합치의학전문의
현재 사진에서는 크게 문제가 되는 것은 없습니다. 초기에 혈병이 형성되고 시간이 지나면 섬유화 과정을 거쳐 지금과 같은 모습을 보일 수 있습니다. 발치 전에 다량의 치조골 삭제 등이 있었다면 일주일이 지나더라도 약간의 통증은 있을 수 있습니다.
아무쪼록 저의 답변이 문제 해결에 작게 나마 도움이 될 수 있기를 기원드립니다. 항상 건강하고, 행복하세요^^
정진석 치과의사 드림
김철진 치과의사
가까운우리치과
안녕하세요 치과의사 김철진입니다. 사진상으로 보면 드라이소켓일 가능성이 높아 보입니다. 치과에 가셔서 소독을 한번 받아보시는게 좋을것같습니다.
안상우 치과의사
목동안치과의원
사진으로 봤을 경우에는 혈병이 제대로 생성되지 않아 발치 부위가 노출된 것으로 보입니다 발치된 부위의 혈병이 형성되지 않으면 치유가 늦어지면서 드라이 소켓이 생길 수 있습니다 드라이 소켓은 위반 쪽으로 심한 악취와 극심한 통증을 유발하는 경우가 많습니다 정확한 확인을 위해서 치과에서 진료를 받아 보는 것을 권유 드립니다
최석민 치과의사
강원도 원주의료원
증상이나 사진의 양상을 봤을 때 치유부전, 드라이소켓의 가능성이 있어보입니다. 드라이소켓은 흡연, 빨대 사용 등에 의해 잘 유발되고 발치 후 주의사항을 잘 지켰더라도 그러한 부작용이 나타날 가능성은 있긴 합니다. 일단은 증상 개선을 위해 치과 내원해보시기 바랍니다.