아핫뉴스실시간 인기검색어
아핫뉴스 화산 이미지
화산 아이콘 11
이해찬 건강 악화
아하

의료상담

치과

당당한코알라284
당당한코알라284

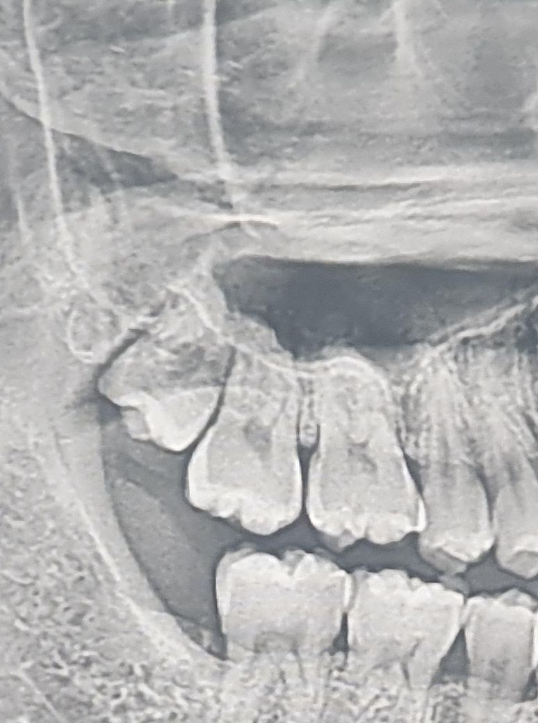
상악 사랑니 천공 가능성 여부에 질문드립니다.

안녕하세요. 다음 주 금요일날 마지막 사랑니 발치하러 갈 예정입니다.

발치 난이도는 상악이 하악보다 훨씬 쉽다고 하셔서 걱정은 안 하고 있었는데

모르는 게 약, 알면 독이라더니 상악동 천공이란게 생길 수 있다고 그러더라고요.

의사 선생님들께서 보시기엔 가능성이 있어보이나요?

걱정이 되어 질문 드립니다 ㅠㅠ

  • 1번 째 사진
4개의 답변이 있어요!
  • 안녕하세요. 송우식 치과의사입니다.

    가능성은 있지만 희박합니다. 상악동내에 염증이 없는 상태이니 설령 천공된다고 해도 저절로 막힐 것으로 보입니다.

  • 안녕하세요. 김철진 치과의사입니다.

    염증이 심한 사랑니가 아니라면 저정도 사랑니는 상악동이 천공이 되고 시간이 지나면 자연스럽게 괜찮아 집니다.

  • 안녕하세요. 안상우 치과의사입니다.

    사진으로 봤을 경우에는 사랑니의 뿌리가 상악동에 가까이 있는 것으로 보입니다. 하지만 상악동에 있는 사랑니는 쉽게 나오기 때문에 상악동 천궁까지 유발하지는 않을 것으로 생각됩니다.

  • 안녕하세요. 김지훈 치과의사입니다.

    어떠한 사랑니라도 천공의 가능성은 있으며 설명을 하는 것이 치과의사의 의무이자 방어수단입니다.