홈
토픽
스파링
잉크
미션
전문가 신청
베리몰
나도 질문하기
반려동물
흐끈님아
반려동물 종류
강아지
품종
시츄
성별
수컷
나이 (개월)
10년~11년
몸무게 (kg)
9
중성화 수술
1회
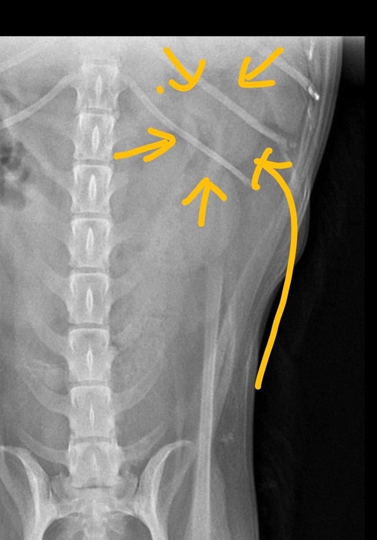
10년된 강아지가 아파서 밥도못먹고 낑낑대고 다리도 절뚝거리고하는데 병원가서 검사도 받고 다했는데 괜찮다고하네요 근데 x-ray사진을 봤을때 제가봐도 이상하고 다른사람들이 봐도 이상하다고 보는데 왜 의사만 괜찮다고 할까요?? 혹시 사진보시고 뭐가 문제인건지 알 수
있을까요??
1개의 답변이 있어요!
이은수 수의사
프리랜서
∙
안녕하세요. 이은수 수의사입니다.
해당 부위에 종괴가 있는것으로 보이니 정밀 초음파 검사나 CT촬영이 가능한 동물병원에 데려가서 다시 검진 받으시기 바랍니다.
평가
응원하기