홈
토픽
스파링
잉크
미션
전문가 신청
베리몰
나도 질문하기
의료상담
호탕한그늘나비275
성별
여성
나이대
45
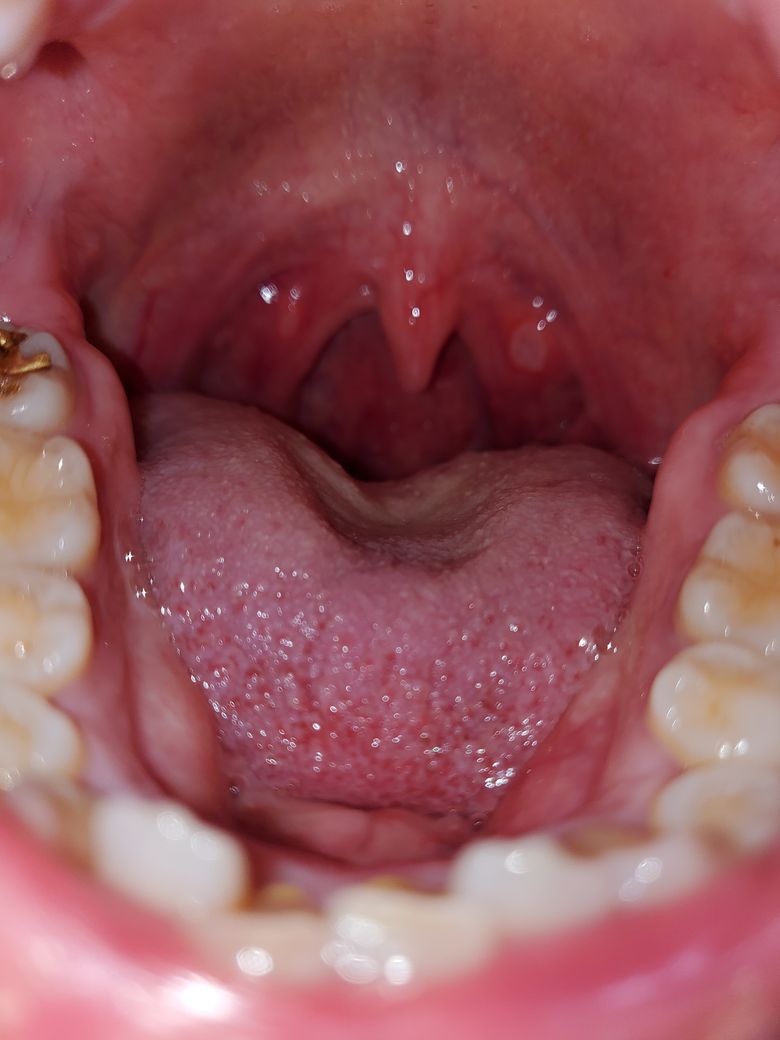
항생제를 5일치 먹고 일주일이 지났는데 더 심해졌어요.ㅜㅜ 병원에 안가도 나아질까요?
물만먹어도 너무아프고 잠도 설치고있어서 괴롭네요
사진 보기
1개의 답변이 있어요!
서민석 의사
가톨릭대학교 인천성모병원 가정의학과
∙
목 안의 상태만 봐서는 편도가 부어 있는 것도 아니라서 항생제 복용이 필요한 것 같지는 않습니다. 인후에 궤양이 약간 있어서 구내염 소견이라고 판단되는데 구강 연고를 바르면서 증상 조절을 해 보셔도 괜찮을 것 같아요.
평가
응원하기