아하
  • 토픽

  • 스파링

  • 잉크

  • 미션


의료상담

끝없이격렬한예술가

끝없이격렬한예술가

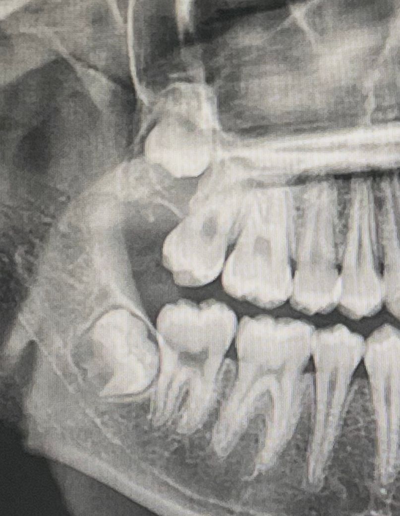
이렇게 되어 있는 사랑니 빼야하나요?

충치나 다른 문제 생긴 적은 없는데 그냥 사랑니 찾아보다가 궁금해져서 물어봅니다. 혹시 추가로 볼이 계속 어금니에 씹히는데 왜 그런건가요?

  • 1번 째 사진

2개의 답변이 있어요!

  • 김철진 치과의사

    김철진 치과의사

    가까운우리치과

    안녕하세요. 김철진 치과의사입니다.

    사진에 보이는 사랑니는 특별한 이유가 없다면 발치를 하지 않으셔도 될것같습니다. 볼살이 튀어나와서 치아에 씹히는거 같으니 음식을 드실때 천천히 드시는게 좋습니다.

  • 안녕하세요. 최석민 치과의사입니다.

    1. 결국은 빼주는게 좋을 것 같긴 합니다. 근데 아직 치배 상태의 사랑니고 좀 더 자라고 나서 빼세요

    2. 볼을 계속 씹는 건 교합 문제, 치아 각도 문제일 수 있습니다.