아핫뉴스실시간 인기검색어
아핫뉴스 화산 이미지
화산 아이콘 11
차가원, MC몽 송금 법적 대응
아하

의료상담

치과

타오름달
타오름달

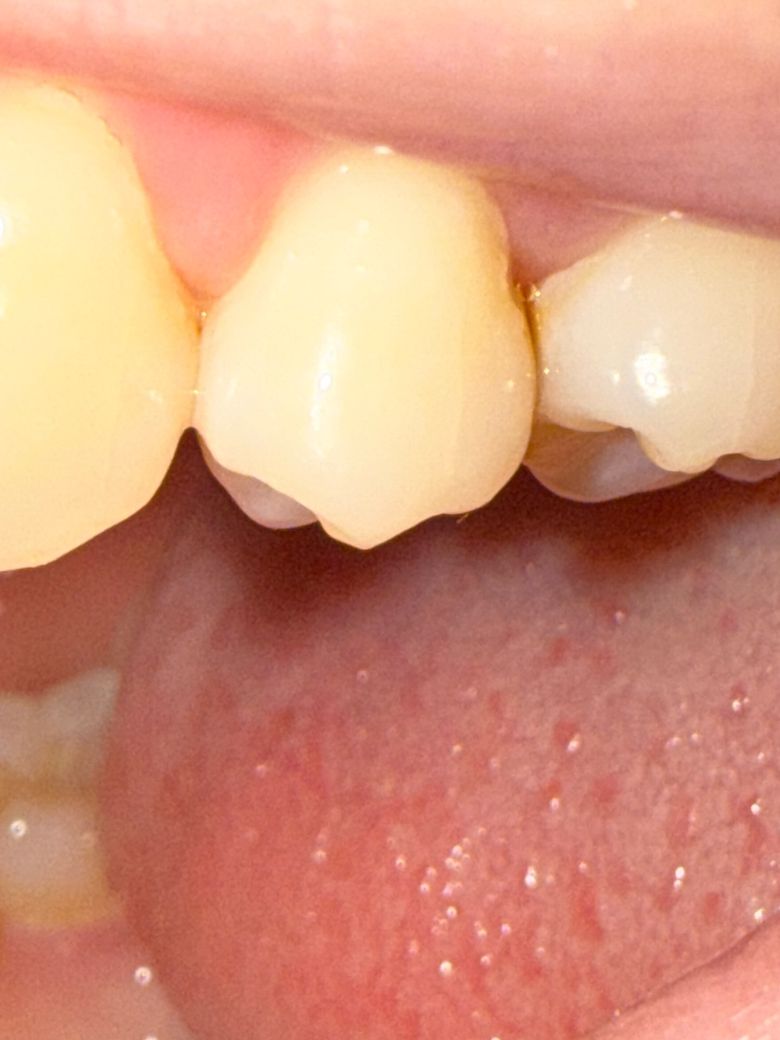
치경부마모증인데 치아옆면이 깨졌어요

안녕하세요 제가 치경부마모증이 있어서 치아가 평소에도 많이 시렸어요 그게 반년전부터 그랬고 그러다 양치만해도 너무 이가 아프고 시려서 치과를 갔더니 치경부마모증이있다하셨고 많이 심하지않아서 레진단계는 아니라 안시리게하는 약품만 발라주셨거든요..그러다 두달 전에 다시 또 시리길래 진료받으니 조금더 마모가 진행됐다고 약품을 다시 발랐고 평소에 관리를 좀 더 조심하게 해주라 하셨거든요 그리고 어제 양치를 하고 치아가 뭔가 까슬해서 보는데 옆면이 저렇게 지그재그로 울퉁불퉁하게 치아 옆이 마모가된건지 파절이된건지 사진처럼 보이더라구요 ㅠㅠ 일단 충치는 두달전에도 전혀 없다고 하셨고 시린이라 치약도 일부러 고불소 치약을 사용했어요 그리고 양치 전에 항상 치실을 하는데 제가 부정교합이라 윗니간격들이 너무 촘촘해서 치실이 잘 안들어가고 안빠져서 어쩔수 없이 치실이 들어갈때나 빠질때 빡하고 약간 힘을 줘서 당기거든요 ㅠㅠ 그것때문에 파절이된걸까요…ㅠㅠ 자국이 치실자국인가 싶기도하고 ㅠㅠ 일단 통증이나 시린건 없어요 치실을 사용을 중단하는게 나을까요? 그리고 이정도면 레진이 필요할까요…? 레진할때 치아 갈아내야할까봐 너무 무서워요 ㅠㅠ

  • 1번 째 사진
  • 2번 째 사진
  • 3번 째 사진
4개의 답변이 있어요!
  • 안녕하세요. 김철진 치과의사입니다.

    치아가 파절된건 아니지만 힘을 많이 받거나 야이를 강하게 해서 치아가 마모된거 같습니다.

    1명 평가
  • 안녕하세요. 김지훈 치과의사입니다.

    치실 사용과는 크게 연관성은 없으며 계속 시리다면 예방적으로 떼우는 치료를 받는 게 좋습니다.

    1명 평가
  • 안녕하세요. 안상우 치과의사입니다.

    채시를 한다고 해도 치아에 마모가 생기거나 하지 않습니다. 마모증으로 인해서 치아 옆면이 깍을거리거나 불편하다면 해당 부위를 치과형 재료를 충전해 줄 수 있습니다.

    자세한 확인을 위해서 치과에서 진료를 받아보는 것을 권유드립니다.

    1명 평가
  • 안녕하세요. 최석민 치과의사입니다.

    치실 사용 때문에 치아가 파절되는건 말이 안되고, 치경부 마모 심하지 않습니다

    다만 옆면 치아 파절은 관찰되며 파절이 더 진행되지 않도록 이 부위는 레진으로 메꿔주면 좋을것 같습니다

    1명 평가