아하
  • 토픽

  • 스파링

  • 잉크

  • 미션


의료상담

참신한까마귀249

참신한까마귀249

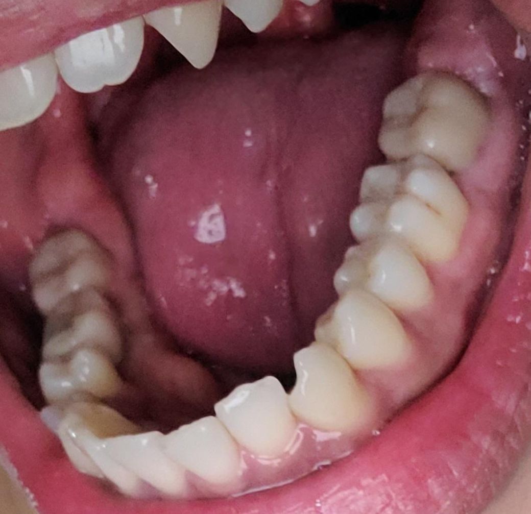
크라운 주변 잦은 잇몸 통증 질문드립니다.

좌우 맨끝 어금니가 둘 다 지르코니아 크라운인데, 씌운 지 6~7개월밖에 안 됐습니다.

그런데 양쪽 다 크라운-잇몸 경계부만 반복적으로 붉어지고 욱신거립니다. 오늘도 좌측 맨끝 어금니 잇몸 경계가 빨갛게 올라오고 욱신거려서 치과에서 깊은 스케일링 + 미노클린 처치를 받았고, 이런 증상은 좌측은 2번째, 우측은 잇몸치료만 4번 이상 받았습니다.

다른 치아 잇몸은 비교적 괜찮고, 문제는 항상 크라운 씌운 양쪽 맨끝 어금니 주변만 반복됩니다. 엑스레이상으로는 이상이 없다고 들었습니다.

이런 경우 제 잇몸 자체 문제라기보다 보철물 적합도나 마진(경계) 문제로 잇몸이 반복 자극되는 경우도 있을까요? 엑스레이에 안 나와도 크라운 마진, 단차, 압박, 교합 문제 때문에 이런 식으로 반복될 수 있는지 궁금합니다.

참고로 둘다 신경치료한 치아 입니다.

  • 1번 째 사진
  • 2번 째 사진
  • 3번 째 사진

1개의 답변이 있어요!

  • 최석민 치과의사

    최석민 치과의사

    강원도 원주의료원

    안녕하세요. 최석민 치과의사입니다.

    네 보철물 적합 문제이거나 보철물 붙이는 잉여접착제가 잇몸에 남아 계속 자극을 주어 염증이 생기는 경우가 대부분인데 계속 잇몸치료는 받았다면 전자의 가능성이 높은 상황이죠 대학병원 보철과나 치주과 가보세요