의료상담
55글자 더 채워주세요.
5개의 답변이 있어요!
안녕하세요. 송우식 치과의사입니다.
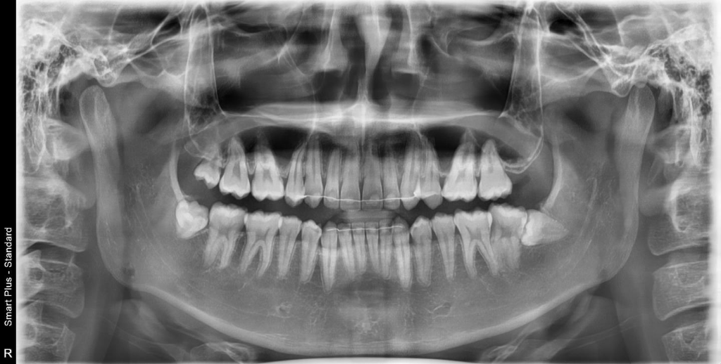
저 상태에서 그냥두면 사랑니 바로옆 어금니를 점점 상하게 하닌 가능한 수평매복 사랑니는 가능한 빨리 뽑는 것을 추천합니다. 반대편 아래사랑니도 매복되어 있으니 이것도 뽑는 것으도 뽑는 것을 추천합니다.
안녕하세요. 안상우 치과의사입니다.
사랑니는 치아 맨뒤에 나는 .치아로 칫솔질로 관리하기 힘든 위치에 있습니다. 음식물이나 이물질이 잘 저류할수 있어서 앞에있는 치아와 .치주조직에 안좋은 영향을 미치게 될가능성이 있다면 예방차원에서 발치를 하는것이 좋습니다.
매복되어 있고 다른 치아에 .문제를 발생시킬가능성이 없다면 발치하지 않아도 됩니다. 또한 똑바로 나와 있고 관리가 잘되고 있으며 .충치나 치주질환이 없다면 관리를 하면서 사용할 수도 있어요.
안녕하세요. 김주혁 치과의사입니다.
사랑니가 수평 매복 되어있고, 앞의 치아 뿌리와 위치가 가까운 경우 앞 치아의 치근 흡수로 인한 통증이나 염증이 발생할 수 있으므로 증상이 없더라도 예방적 차원에서 발치 해주는 경우가 많습니다
정확한 것은 치과 내원하여 검사 후 상담 받아보는 것이 좋습니다
안녕하세요. 김철진 치과의사입니다.
사랑니가 불편하시거나 염증이 생긴다면 발치를 하시는게 좋지만, 그렇지 않으면 일단 관리를 하시면 될것같습니다.
안녕하세요. 김지훈 치과의사입니다.
사진상 보이는 사랑니는 썩거나 앞의 치아에 문제를 일으킬 수 있어 웬만하면 뽑으시는 것이 좋겠습니다

