아하
  • 토픽

  • 스파링

  • 잉크

  • 미션


의료상담

디즈니랜드

디즈니랜드

유치로 인해 임플란트 한 후 10여년이 지났는데요

30대.중반 남자 입니다.


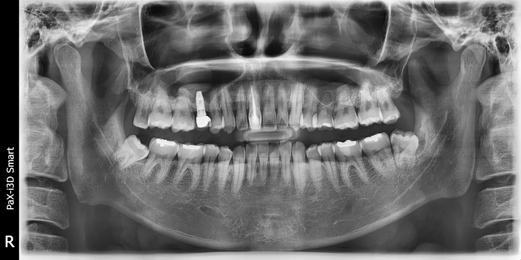
파노라마 x-ray 사진상


임플란트를 중앙 윗니 기준4번째 어금니에 했는데요


유난히 3번째 치아 부위의 잇몸만 유난히 튀어나와있는데요


이유가 몰까요?


임플란트랑 연관이 있을까요?









  • 1번 째 사진

2개의 답변이 있어요!

  • 김철진 치과의사

    김철진 치과의사

    가까운우리치과

    안녕하세요. 김철진 치과의사입니다.

    임플란트 떄문에 그럴가능성은 없을것같습니다. 원래 그랫을수도 잇고 수술하면서 잇몸이 과증식되서 그럴수도 잇습니다 .

  • 안녕하세요. 안상우 치과의사입니다.

    세 번째 치아는 송곳니입니다 송곳니는 뿌리가 깊고 앞쪽으로 위치해 있기 때문에 송곳니가 있는 부위에 잇몸은 다른 곳보다 앞으로 나와 있는 경우가 있습니다.

    크게 문제가 되진 않지만 걱정이 된다면 치과에서 자세한 검사를 받아 보는 것이 좋습니다.