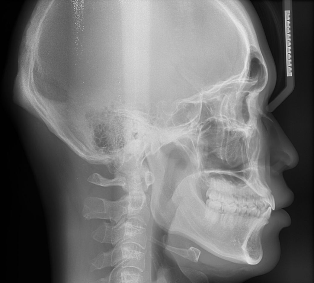
사진과 xray사진상 주걱턱인가요?
치과에서 정밀검사때 의사님이 분석한 데이터 결과를 보여주셨는데 턱길이가 평균치보다 길다고하는데
이거 주걱턱인가요?수술이 필요한건가요?
주걱턱의 기준이 어떻게되는지 알고싶습니다
안녕하세요. 장인아 치위생사입니다.
주걱턱이란 아래 치아가 위에 치아보다 앞으로 나온 경우를 말합니다.
심해보이지 않고 꼭 수술이 필요해보이지는 않습니다.
아주 경미한 경우에는 치아교정만으로도 효과가 있을수 있고 골격적인 원인은 윤곽수술이 가능할수도 있습니다.
건강하세요.
안녕하세요. 박종열 치과의사입니다.
cephalo PA 분석을 하여 기준치 이상의 경우 이를 주걱턱 또는 하악골돌출 등으로 표현합니다.
분석을 해봐야 알겠지만, 눈대중으로 보았을 때는 큰 문제는 없어보입니다.
하악 길이가 긴 것과 또 주걱턱은 다른 개념이므로 자세한 진단을 원하시면
악교정수술 상담 및 진단 받아보시는 것을 추천드립니다.
안녕하세요. 김바른 치과의사입니다.
하악이 약간 돌출 경향이 있으나, 그렇다고 해서 무조건 수술을 해야할 만큼 심한 정도는 아닙니다.
해당 안모 정도면 일반적으로 수술을 권하지 않습니다.
안녕하세요. 안상우 치과의사/경제·금융전문가입니다.
사진으로 보았을 경우에는 일반 교합과 특별한 차이가 없어보이며 하관이 조금 긴것이 맞지만 일반적으로 말하는 주걱턱이라고 보이지는 않습니다.
안녕하세요. 정진석 치과의사입니다.
일반인들이 알기에는 여러가지 지표를 모두 알기 힘들지만 쉽게 설명 드릴 수 있는 부분은 맨 아래 사진에서 코 끝과 턱 끝의 연조직을 연결했을 때 그 선을 기준으로 입술이 얼마나 튀어나왔는지 기준으로 판단하기도 합니다. 현재 계측점이 정확히 찍혀 있지 않으나 상악에 비해 하악이 발달 한 것은 맞습니다.
다만 주걱턱이라고 하기에는 심미적으로 턱이 많이 나와 있지 않아 양악을 하거나 교정의 필요성은 특별히 많지 않습니다. 교합도 좋아 보이구요.
아무쪼록 저의 답변이 문제 해결에 작게 나마 도움이 될 수 있기를 기원드립니다. 항상 건강하고, 행복하세요^^
정진석 치과의사 드림
안녕하세요. 김철진 치과의사/경제·금융전문가입니다.
사진상으로는 주걱턱이거나 그렇진 않아 보입니다. 평균보다 하악턱이 길다고 모두 주걱턱은 아니세요.
교정분석을 통해서 기준선보다 하악턱이 전방으로 나오게 되면 주걱턱이라고 보시면될것같습니다. 작성자님께서는 x-ray사진으로 본다면 주걱턱은 아니신거 같습니다.

