아하
  • 토픽

  • 스파링

  • 잉크

  • 미션


의료상담

그냥돼지

그냥돼지

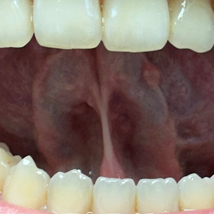
혀 아래,밑부분에 돌기?뾰루지? 같은게 있습니다

성별

남성

나이대

30








안녕하세요

혀 밑부분에 돌기나 뾰루지 같은게 있는데요.

(사진은 좀 흐릿하게 나온편입니다)

예전부터 있었는지,최근에 생긴건지는 모르겠습니다.


1. 병원에 꼭 가봐야 하는 질병일까요??


2.악성 종양일 가능성이 있을까요??


  • 1번 째 사진
  • 2번 째 사진

아직 답변이 없어요.