갑자기 숨쉬기가 답답한데 왜 이러는 걸까요?
안녕하세요.
올해 1월 뇌전이 비소세포 페암 판정을 받았습니다.
현재까지 알룬브릭 표적치료제 먹고 있구요.
6월에 정기 검진 진료 보았을 때 교수님께서 흔적(?)만 남았다고 하셨습니다.
1주일 전부터 오른쪽 골반, 옆구리, 뒷구리가 결린듯이 근육통처럼 아프고
가슴쪽과 폐쪽도 약간의 통증이 느껴지는거 같아서 근처 병원에 가보았습니다. (폐쪽에서 가끔 뽀글뽀글 거리는 소리? 느낌이 들었음, 수술한적 없음)
한국이면 바로 병원 응급실로 가겠지만 해외 출장중이어서 근처 내과로 다녀왔습니다.
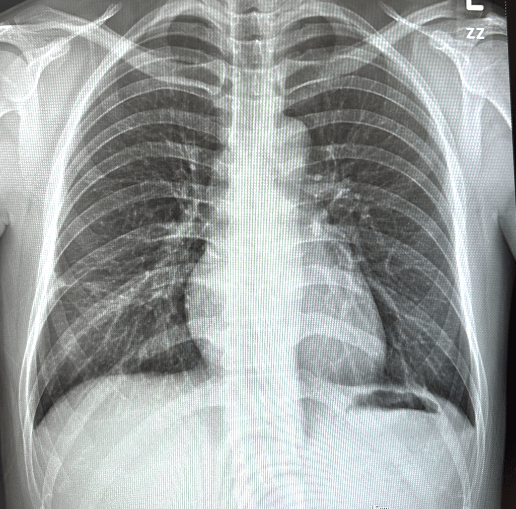
한국에서 9월 말 진료이기도 하고 미국 병원비도 너무.. 비쌀거 같아서 엑스레이만 찍었습니다. (아래 사진 첨부)
엑스레이 결과지에서는 흉수나 응고가 없다, 그리고 결절 크기만 적혀있습니다.
그런데 어제 밤부터 갑자기 호흡을 깊게 내뱉으면 가슴쪽이 답답한 느낌이 있습니다.
(시원하게 평상시처럼 숨쉬는게 아닌듯한?, 숨을 내뱉어도 숨이 답답한 느낌)
무언가에 집중하거나 그럴땐 잠깐씩 느끼지 못하다가 또 답답하고 반복이에요.
산소포화도 측정기를 휴대하고 다녀서 확인해봤을 땐 96-97로 나옵니다.
열도 없고 기침 증상도 없습니다.
점점 뭔가가 안좋아지는건지 너무 걱정이 됩니다.
어떤 상황에 이러한 증상들이 나타나는 걸까요?
해외여서 불안하고 답답합니다.. 도움 부탁드립니다..
안녕하세요. 김병관 의사입니다.
x ray는 호흡곤란이 발생할 정도의 상태는 아닌것 같습니다. 산소포화도가 96% 이상 나온다면 산소가 많이 부족한 상태는 아닌거 같습니다.. 심리적이나 다른 문제로 답답한 양상일수도 있을거 같은데요,,
폐암이라고 숨이찬경우는 많지 않습니다 (심하게 진행된게 아니라면,,,)
오히려 천식이나 쌕쌕거리는 숨소리가 있으면 모르겠지만,, 지금 크게 걱정하지말고 조금 지켜보셔도 될거 같습니다
x ray 나쁘지 않아요
안녕하세요. 이영민 의사입니다.
현재 엑스레이 사진을 보았을 때에도 폐나 흉강 쪽의 병변이 크게 의심되지는 않는 상태이고 산소포화도도 정상인 것으로 보아 일시적일 가능성이 있겠으나, 폐암 병변이 커져서 기관지를 누르거나 침범하는 경우에 간혹 호흡곤란 증세가 발생하기도 합니다.
예정된 외래일자에 오셔서 의사의 진료를 다시 받아보시고, 혹시라도 호흡곤란이 악화된다면 절대 참지 마시고 해외라도 근처 응급실에 가셔서 진료를 보시는 것이 좋겠습니다.
감사합니다.

