아하
  • 토픽

  • 스파링

  • 잉크

  • 미션


의료상담

김선미

김선미

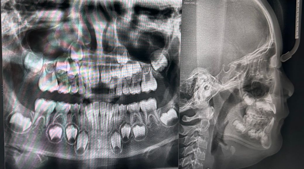
만7세 악궁장치가 꼭필요할까요?사진유

어린이 교정치과 소견은 송곳니자리가없어서 악궁장치가 필요한상황이라고합니다

악궁장치는 만7-9세에만 할수있는 치료라고하네요.

교정이후에도 성장에 따라 2차교정이 필요할수도있다는의견이에요

이외에 일반치과. 교정치과에서는 영구치가 다 나온후에 교정을해도 늦지않는다는 의견입니다.

시기에 맞게 교정을 진행하는게 맞는지 아니면 차후에 해도 늦지않는지 의견부탁드립니다.

  • 1번 째 사진

5개의 답변이 있어요!

  • 김철진 치과의사

    김철진 치과의사

    가까운우리치과

    안녕하세요. 김철진 치과의사입니다.

    치아가 나올 공간이 많이 부족해 보입니다. 일단 악궁확장을 하셔서 치아가 나올공간을 확보해주시는게 좋을것같습니다.

  • 안녕하세요. 안상우 치과의사입니다.

    악궁확장치는 해도 도움이 될 수 있지만 안해도 괜찮을 수 있을 것으로 보입니다. 교정치과에서 악궁확장치의 필요성이 없었다고 얘기를 한다면 부모님의 선택에 따라서 치료계 방향을 결정하면 될 것으로 생각됩니다

  • 안녕하세요. 김지훈 치과의사입니다.

    2차 교정이 필요할 것이라고 예상되는 경우에는 영구치가 나온 이후에 치료받는 것이 나아보입니다.

  • 안녕하세요. 송우식 치과의사입니다.

    송곳니 자리가 없는 경우, 악궁장치를 이용한 치료가 필요할 수 있습니다. 만 7~9세는 어린이의 치아와 턱이 성장하는 중요한 시기로, 이 시기에 악궁장치를 사용하면 송곳니가 자리를 잡을 수 있게 도와주며, 치아 배열을 개선하는 데 도움이 될 수 있습니다.

    치료를 이 시기에 시작하면, 치아의 위치를 조정하고 턱의 성장을 유도하는 데 효과적일 수 있습니다. 교정 치료를 일찍 시작하면 성장에 따라 자연스럽게 교정 효과를 얻을 수 있고, 치아가 완전히 자리를 잡을 수 있습니다.

    영구치가 모두 나온 후에도 교정은 가능하며, 2차 교정이 필요한 경우도 있을 수 있습니다. 악궁장치를 이용한 초기 치료가 시기적으로 적절한 경우라면, 이 시기를 놓치지 않는 것을 권합니다.

    만족스러운 답변되셨으면 합니다.

    평가 감사합니다

  • 안녕하세요. 최석민 치과의사입니다.

    악궁확장이 필요할지는 가용공간, 필요공간에 대해 정확한 계측이 필요합니다 엑스레이 사진만 저렇게 봐서는 모르고요

    교정에 꼭 한가지 방법, 옵션만 있는 것은 아닙니다

    제일 중요한 건 본인의 교정치료에 대한 의지입니다