아핫뉴스실시간 인기검색어
아핫뉴스 화산 이미지
화산 아이콘 11
스트래티지 비트코인 매입 중단
많이 본
아하

의료상담

치과

갸름한말똥구리10
갸름한말똥구리10

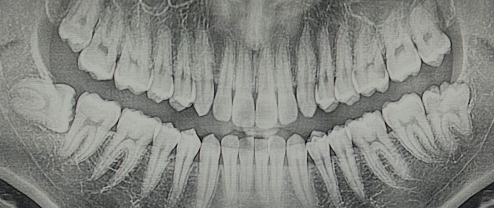
사랑니 통증은 없는데 빼야할까요??

충치치료 했을때 치아 사진인데 양옆에 사랑니가 있습니다.

통증은 따로 없는데 요즘따라 이물질이 낍니다.

이럴때는 사랑니를 발치해야 할까요?

아니면 양치 잘해주면 될까요??

  • 1번 째 사진
3개의 답변이 있어요!
  • 안녕하세요. 김지훈 치과의사입니다.

    이물질이 자꾸 끼이는 경우에는 옆의 치아에도 충치를 유발할 수 있으니 발치하심이 좋습니다.

    1명 평가
  • 안녕하세요. 김철진 치과의사입니다.

    사랑니가 비스듬히 잇고 약간 맹출된상태라면 염증이 생기고 충치가 생길수 있으니 발치를 하시는게 좋을것같습니다.

    1명 평가
  • 안녕하세요. 최석민 치과의사입니다.

    별 이상이 없다하더라도 음식물이 자주 낀다는 것 자체가 사랑니로 인해 옆 어금니 충치, 치관주위염이 유발될 수 있는거니 발치를 고려해보세요

    1명 평가