아하
  • 토픽

  • 스파링

  • 잉크

  • 미션


의료상담

Ddy

Ddy

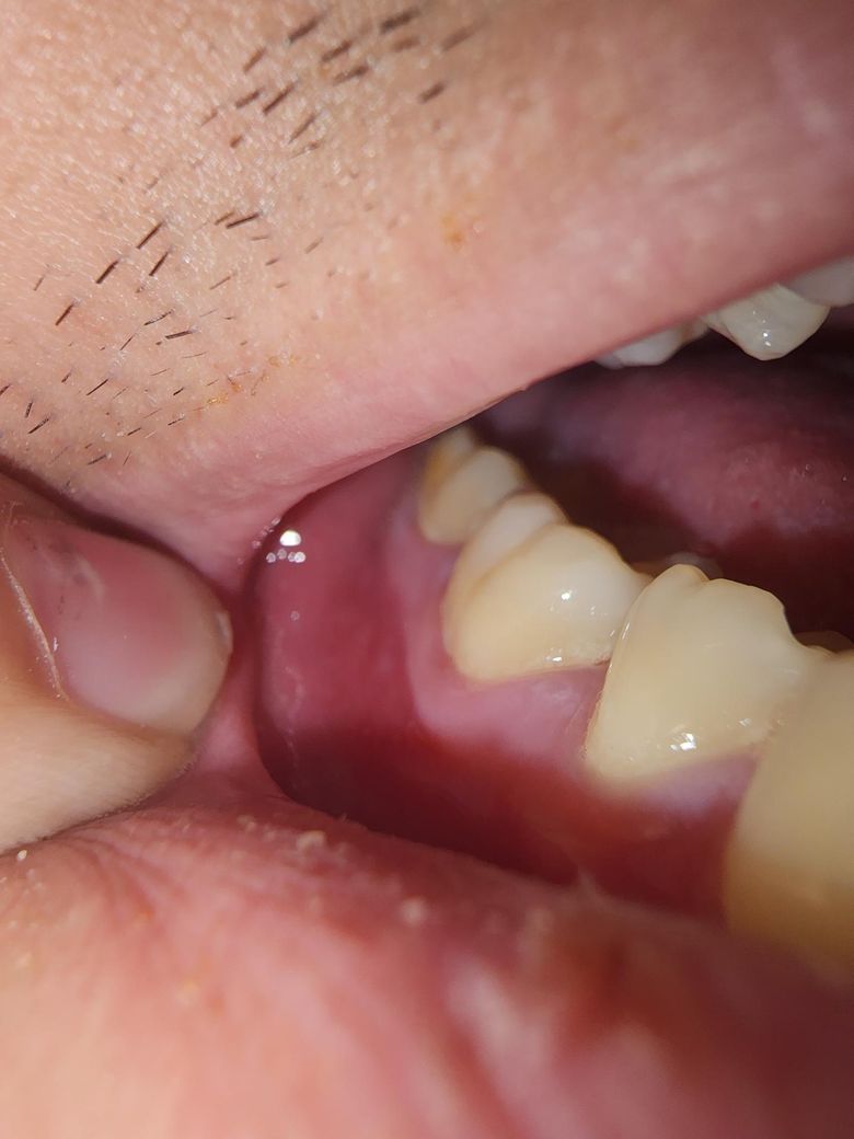
잇몸이 까진 것 같이 상처가 생겼는데요

잇몸이 아파서 손으로 만지다가 긁혀서 상처가

생겼습니다..잇몸약을 얼마나 먹어야 할까요?

만약 상처가 곪아서 다른 치명적인 합병증이 생기진

않겠죠?가글과 양치는 꾸준히 하고 있습니다..

  • 1번 째 사진

2개의 답변이 있어요!

  • 김철진 치과의사

    김철진 치과의사

    가까운우리치과

    안녕하세요. 김철진 치과의사입니다.

    지속적인 자극만 주지 않는다면 상처는 시간이 지나면 괜찮아 지니 자극만 더 가하지 않으시면됩니다.

  • 안녕하세요. 최석민 치과의사입니다.

    단순 상처일지 아니면 천포창 등의 자가면역 질환일지 구강내과가서 한번 검사해보면 좋을 것 같습니다