의료상담
55글자 더 채워주세요.
2개의 답변이 있어요!
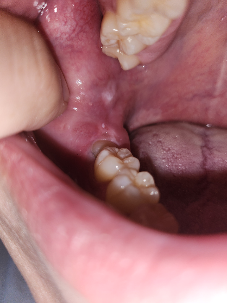
안녕하세요. 김철진 치과의사입니다.
아마 볼살이 치아에 씹히면서 생긴 자국같습니다. 크게 문제가 잇는건 아니니 너무 걱정하지 않으셔도 됩니다.
안녕하세요. 송우식 치과의사입니다.
구강암일 가능성은 낮으며, 구내염일 가능성이 높아 보입니다. 소독을 위해 헥사메딘 가글이나 탄툼가글로 해당부위를 충분히 가글하길 권하며, 충분한 휴식과 영양섭취를 권합니다.
궁금증 해소에 도움이 되시길 바라며, 도움이 되신 경우 '추천' 부탁드립니다.

