아하
  • 토픽

  • 스파링

  • 잉크

  • 미션


의료상담

냉엄한부엉이23

냉엄한부엉이23

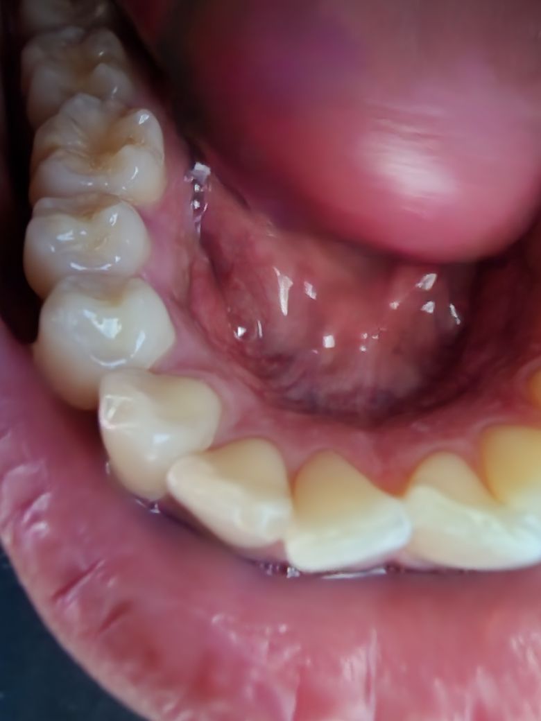
쇠 젓가락을 씹었는데 치아가 깨진건가요?

안녕하세요 25세 남성입니다

치킨을 허겁지겁 먹던중

부끄럽게도 쇠젓가락을 씹어버렸습니다

파편같은건 안 나왔지만

통증이 있는데

치과를 가봐야할까요?

  • 1번 째 사진
  • 2번 째 사진
  • 3번 째 사진

4개의 답변이 있어요!

  • 정진석 치과의사

    정진석 치과의사

    대학병원 통합치의학전문의

    안녕하세요. 정진석 치과의사입니다.

    사진상으로는 정확한 판단이 어렵지만 치아에 금이 갔을 가능성이 매우 높아 보입니다. 즉 파절이 되지 않아도 해당 치아에 금이가게 되면 시린 증상과 더불어 저작시 상당한 통증이 나타날 수 있습니다. 보통 이러한 경우에는 특별한 통증이 없더라도 치과 방문 후 해당 치아에 대한 평가를 받아보는 것이 좋습니다.

    아무쪼록 저의 답변이 문제 해결에 작게 나마 도움이 될 수 있기를 기원드립니다. 항상 건강하고, 행복하세요^^

    정진석 치과의사 드림

  • 안녕하세요. 김철진 치과의사입니다.

    치아가 살짝깨지신거 같습니다. 범위가 크지는 않아서 치료는 안하셔도 될것같지만, 날카롭다면 치과에 가셔서 부드럽게 다듬으셔야될수도 잇습니다.

  • 탈퇴한 사용자

    탈퇴한 사용자

    안녕하세요. 장인아 치과위생사입니다.

    과도한 충격으로 신경의 손상이 있을수 있습니다.

    아프다니 치과 방문해서 확인하면 좋을것 같습니다.

    도움이 되기를 바랍니다. 건강하세요.



  • 안녕하세요. 안상우 치과의사입니다.

    사진으로만 봤을 경우에는 파절된것이 맞아 보입니다.

    치아가 미세하게 파절이 되고 통증등이 없다면 큰 문제가 발생하지는 않습니다.

    하지만 파절이 될 정도로 강한 힘을 받았을수 있기 때문에 치아의 다른 부위에 손상이 있지 않을지 확인을 하기 위해서 치과에서 진료를 받아보는것이 좋습니다.