의료상담
혀아래 뭐가 번지듯 나는데 좀 봐주세요.
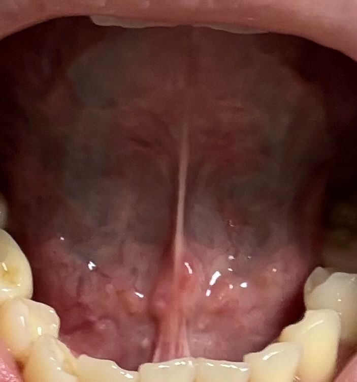
혀아래에 어느순간부터 하나둘 나더니 번지는것처럼 나는데 이거 뭔가요? Hpv 6번 보유하고 있는데 그 영향인가요? 잘 아시는분.. 아프거나 하는 통증은 없습니다.55글자 더 채워주세요.
3개의 답변이 있어요!
안녕하세요. 김철진 치과의사입니다.
바이러스성 수포 같으니 치과에 가셔서 검진후 약을 처방받으셔서 드시는게 좋을것같습니다.
1명 평가안녕하세요. 송준범 치과의사입니다.
혀 아래에는 보통 저렇게 우둘투둘한 구조물들이 많기는 합니다. 질문자님 눈에 갑자기 띄어서 뭔가 생겨났다고 생각하실수도 있긴 한데요. 만약 그런것이 아니라 실제로 원래 없던 것들이 갑자기 생겨나기 시작해서 번져나가는 것이라면 사진만으로는 알기 힘들고 구강내과나 구강외과 전문의 선생님께 찾아가서 생검을 해보시거나 검사를 해보시는게 가장 정확 합니다.
안녕하세요. 송우식 치과의사입니다.
HPV 6형은 저위험군 HPV로 혀아래, 입안, 인후등에 생길수 있고, 통증은 없고 번져 보일수 있습니다. 따라서 계속 지속되고 번지는 경우에는 치과나 이비인후과 진료를 권합니다.

