아핫뉴스실시간 인기검색어
아핫뉴스 화산 이미지
화산 아이콘 11
SKT 해킹 보상 10만 원 지급
아하

의료상담

치과

자비로운고니264
자비로운고니264

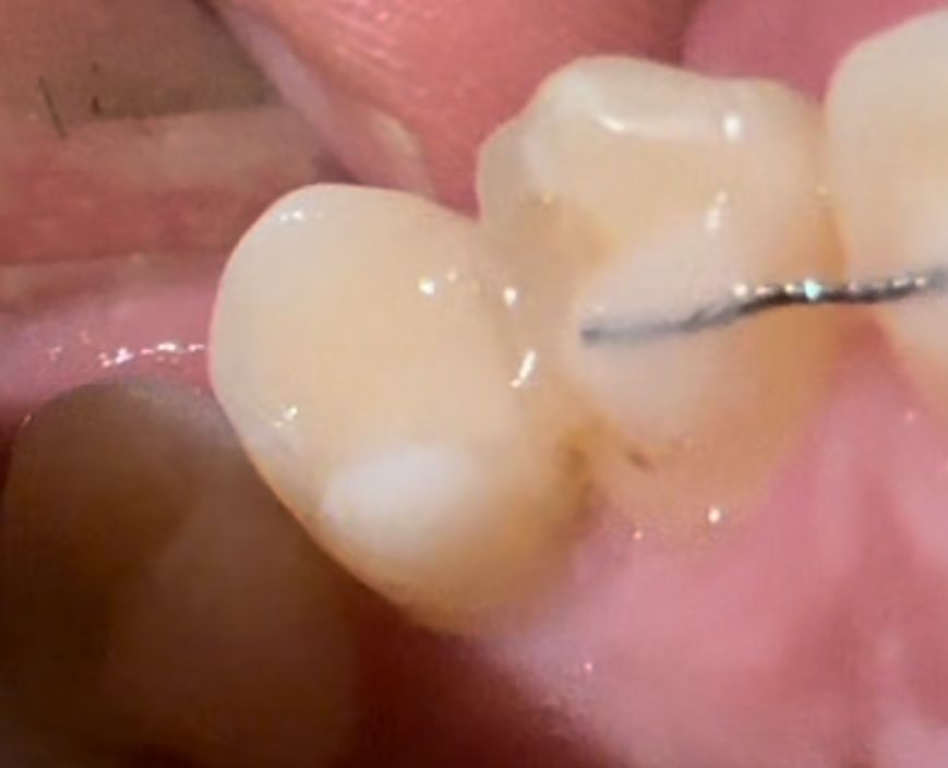
레진 안에 충치가 생긴건가요? 다 같은 송곳니 입니다 마지막 진료는 작년 12월이었습니다

혹시 레진 안에 충치가 생긴건가요? 사진은 다 하나의 송곳니 입니다 핸드폰 라이트를 비추면 검은색이 잘 안보이고 라이트를 끄면 잘보이는 거 같아요

  • 1번 째 사진
  • 2번 째 사진
  • 3번 째 사진
  • 4번 째 사진
  • 5번 째 사진
6개의 답변이 있어요!
  • 사진으로는 단순히 레진이 투명한 것으로 보이지만 정확한 것은 엑스레이를 찍어봐야 합니다.

    걱정되시면 치과 한번 가보시는 게 좋겠습니다.

  • 정확한 것은 x-ray 등과 같이 평가해야 합니다. 해당 부분의 레진이 약간 변색되어 나타날 수도 있습니다. 따라서 반드시 검다고 해서 충치가 아니며 빛을 비추는 각도에 따라서 치아 색과 차이가 있다면 조금 더 어두워 보이는 경우도 있으므로 치과 방문 후 검사를 해보셔야 합니다.

    아무쪼록 저의 답변이 문제 해결에 작게 나마 도움이 될 수 있기를 기원드립니다. 항상 건강하고, 행복하세요^^

    정진석 치과의사 드림

  • 레진의 색상이나 투명도는 원래 치아와 차이가 있을 수 있습니다 이런 경우 어두워 보이는 경우도 있습니다 크게 문제가 없을 것으로 생각되나 자세한 확인을 위해서는 치과에서 진료를 받아 보는 것을 권유 드립니다

  • 사진상으로는 충칭가 확인이 되지는 않습니다. 현재 레진을 한부위가 통증이 있거 해당잇몸이붓는 경우에는 충치가능성이 있기에 치과에 방문하여 상태를 확인인하고 치료를 받길 권합니다.

    궁금증 해소에 도움이 되시길 바라며, 도움이 되신 경우 '👍 ' 눌러주길 부탁드립니다.

  • 안녕하세요 치과의사 김철진입니다. 정확한건 엑스레이를 찍어보셔야될것같습니다. 육안상으로는 안쪽에 변색 또는 충치가 생긴거 같습니다.

    1. 레진 하방으로 이차충치가 생길 가능성도 있긴 합니다.

    2. 다만, 지금 사진상에서 나타나는 투명도 차이는 레진 재료 자체의 특성일 수도 있습니다.

    3. 충치의 증상 (통증, 시림)이 있다면 치과를 내원하여 엑스레이 사진을 찍어보시면 되겠습니다.