아하
  • 토픽

  • 스파링

  • 잉크

  • 미션


의료상담

은근히두근거리는사랑꾼

은근히두근거리는사랑꾼

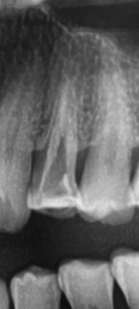
치아 균열이나 염증 소견있는지 한번 봐주세요

치아가 아파 신경치료받고 있는 치아인데요

신경치료를 아무리받아도 치아가 게속 쑤시고 아파요

사진에 염증소견이나 치아 균열등이 있나요?

만약 있다면 발치해야 할까요?

사진보고 자세한 답변주시면 감사합니다.

  • 1번 째 사진

3개의 답변이 있어요!

  • 안상우 치과의사

    안상우 치과의사

    목동안치과의원

    안녕하세요. 안상우 치과의사입니다.

    사진으로 봤을 경우에는 치질의 상실이 많이 된것으로 보입니다.

    이런경우 충치가 치조골에 내려가 있거나 파절선이 있을수 있습니다.

    사진만으로는 정확한 확인이 어렵기 때문에 육안으로 확인이 필요할것으로 생각됩니다.

  • 안녕하세요. 김철진 치과의사입니다.

    치아의 균열은 엑스레이 상으로 보일정도면 치아를 발치해야될 상태입니다. 치아 뿌리끝에 금이 간게 아닐까 생각됩니다.

  • 안녕하세요. 최석민 치과의사입니다.

    사진에 염증소견이나 치아 균열등이 있나요?

    만약 있다면 발치해야 할까요? -> 엑스레이상 명확히 크랙이나 염증이 보이진 않습니다 여러번 신경치료를 진행해도 차도가 없으면 빼야합니다