의료상담
55글자 더 채워주세요.
3개의 답변이 있어요!
안녕하세요. 이정현 치과의사입니다.
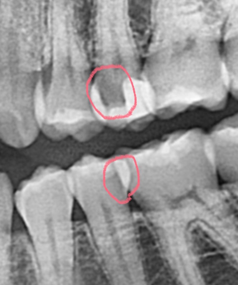
방사선사진으로만 본다면 아래치아는 충치의 가능성이 높습니다.
위의 치아는 충치일수도 있고, 단순히 방사선흑화도가 높아서 그렇게 보이는것일수도 있습니다
정확한 판단을 위해선 눈으로 직접 검사를 해봐야 알 수 있을 것으로 보입니다. 감사합니다.
안녕하세요. 정진석 치과의사입니다.
말씀하신 부위 모두 충치입니다. 방사선 사진을 촬영할 때, tearing 된 부위도 비슷하게 보이나 현재 치아가 겹쳐져 있는 상태에서 지금과 같은 정도의 radiolucency를 보인다면 이는 충치일 가능성이 매우 높습니다. 따라서 치료를 해야할 것으로 보이며 신경과도 어느정도 근접하므로 신경치료의 가능성도 열어두셔야 합니다.
아무쪼록 저의 답변이 문제 해결에 작게 나마 도움이 될 수 있기를 기원드립니다. 항상 건강하고, 행복하세요^^
정진석 치과의사 드림
안녕하세요. 김철진 치과의사입니다.
사진상으로 보이는 부분은 충치는 아닌거 같습니다. 일종의 파노라마 사진의 오류일꺼 같습니다. 정확한건 눈으로 직접보거나 작은 사진을 찍어보면 알수 있습니다.
장도연이 추천하는 아하!
앱으로 편리하게 사용해 보세요.