아핫뉴스실시간 인기검색어
아핫뉴스 화산 이미지
화산 아이콘 11
스트래티지 비트코인 매입 중단
많이 본
아하

의료상담

치과

스카줌
스카줌

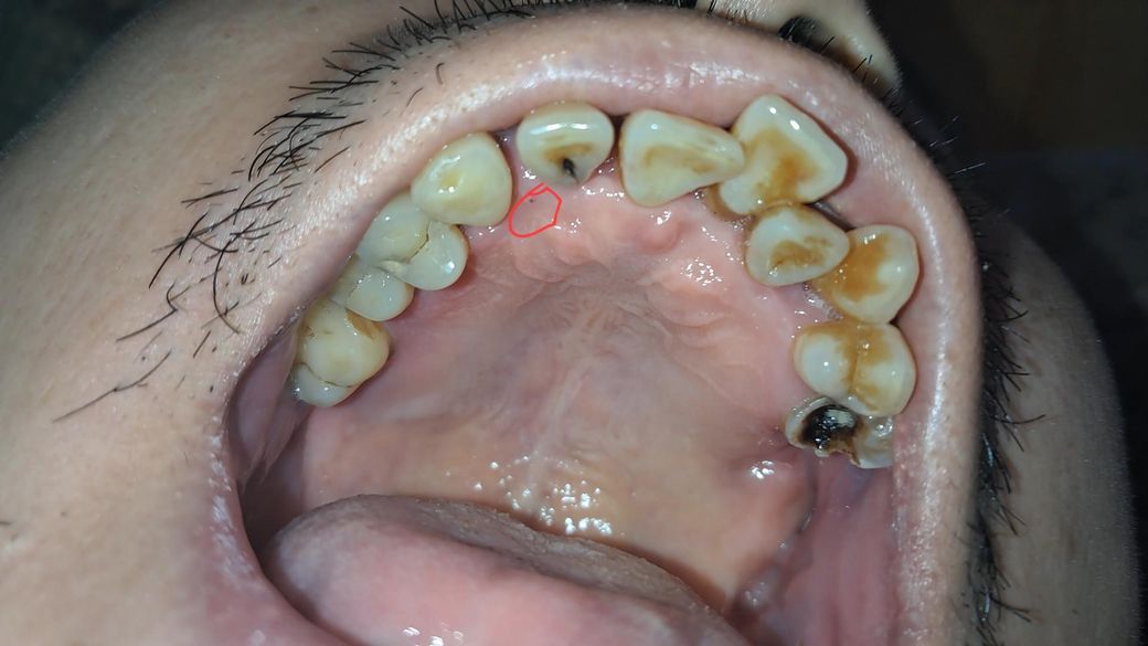
구강암인지 봐주세요 잇몸에 작은 붉은 점 있어요

나이45세 치주염으로 올해만 6개 치아 발치

잇몸을 살피던 중 붉은 점을 발견 했어요

구강암 증상이 아닌지 의심이 들어 이렇게 글을 씁니다

  • 1번 째 사진
  • 2번 째 사진
3개의 답변이 있어요!
  • 안녕하세요. 김지훈 치과의사입니다.

    해당 부분을 구강암으로 의심해볼 수는 없고 크기가 계속 커지거나 하면 검사 받으러가심이 좋습니다.

    1명 평가
  • 안녕하세요. 김철진 치과의사입니다.

    구강암은 아니고 잇몸에상처가 생긴거 같으니 크게 걱정은 안하셔도 될것같습니다. 자극만 가지 않도록 해주세요.

    1명 평가
  • 안녕하세요. 최석민 치과의사입니다.

    1. 악성종양의 양상 아닙니다

    2. 그 외 치료해야 할 충치 많고 스케일링 한번 하셔야 겠습니다...

    1명 평가