아하
  • 토픽

  • 스파링

  • 잉크

  • 미션


의료상담

미래도뛰어난백호

미래도뛰어난백호

신경치료에 대해서 여쭤봅니다...

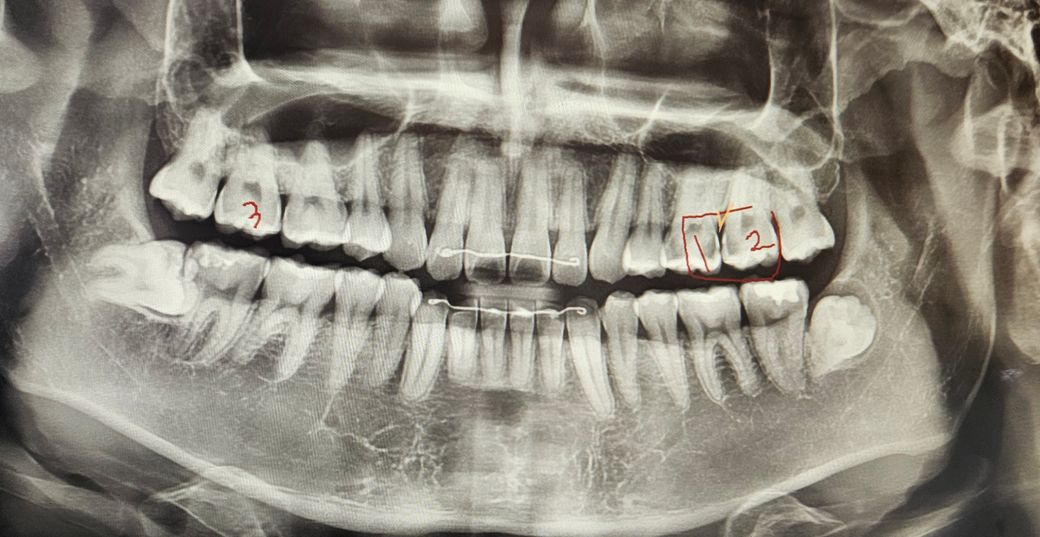
사진에 보이는 1,2번 치아 신경치료가 필요한가요?... 어느정도인지 알려주시면 감사할거같습니다 어떻게 생각하시나요?:)

  • 1번 째 사진

5개의 답변이 있어요!

  • 안상우 치과의사

    안상우 치과의사

    목동안치과의원

    안녕하세요. 안상우 치과의사입니다.

    사진으로 봤을 경우에 충치가 깊게 생긴 것으로 보입니다 충치를 제거했을 때 신경이 노출되거나 신경이 민감해질 수 있다면 신경치료를 하는 것이 좋습니다 신경치료의 가능성이 높을 것으로 생각됩니다

  • 안녕하세요. 김철진 치과의사입니다.

    엑스레이 상으로 봐도 치아 사이에 충치가 많이 진행된거 같습니다. 둘다 신경치료를 하셔야될것같습니다.

  • 안녕하세요. 송우식 치과의사입니다.

    인접면 충치로 2개 치아 사이에서 충치가 생긴 것으로 인접면 충치는 신경치료 해야 하는 경우 많습니다. x-ray 사진으로 보아 안쪽으로 많이 진행되어 신경치료 가능성 높아 보입니다.

  • 안녕하세요. 김지훈 치과의사입니다.

    위 사진만으로는 판별을 하기는 어렵습니다. 인레이 치료 혹은 신경치료가 필요할 것 같습니다.

  • 안녕하세요. 최석민 치과의사입니다.

    충치가 다소간 관찰되고 해당 충치가 깊어 신경을 자극했을 경우 신경치료 가능성이 있어보입니다