의료상담
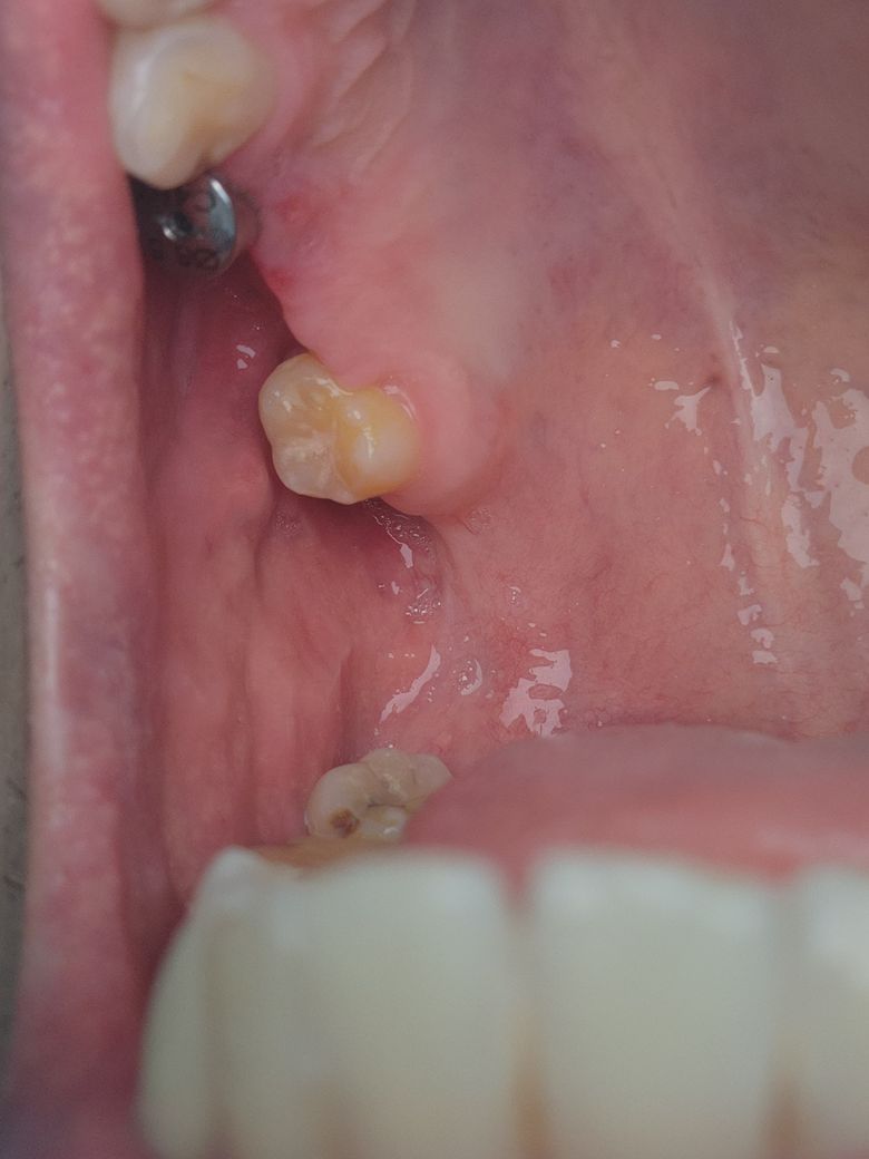
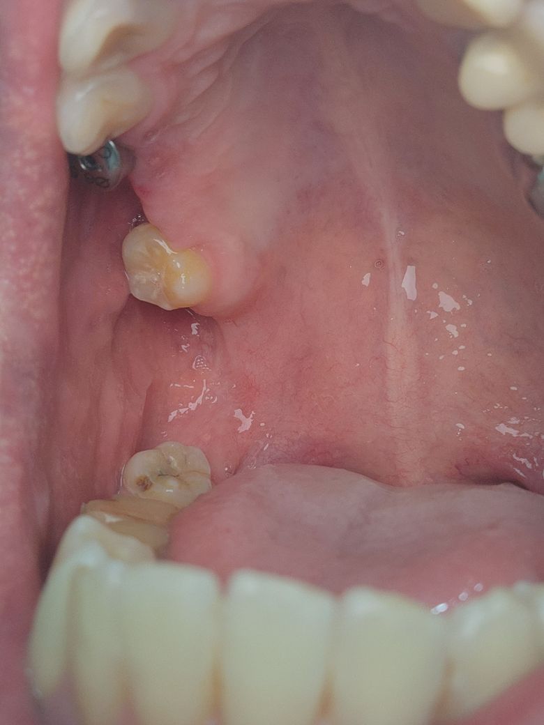
구내염 일까요~? 임플란트 염증 일까요~?
8월7일 이번주 월요일부터 잇몸 부위가 따가웠는데
양치질을 쎄게했나 싶어 지켜보았습니다.
금요일이 될때까지 따가운데
의사선생님이 보시기에는
구내염 일까요~? 임플란트 염증 일까요?
55글자 더 채워주세요.
4개의 답변이 있어요!
안녕하세요. 송우식 치과의사입니다.
현재 사진상으로는 임플란트 염증일 가능성도 있기에 통증이 지속되는 경우 치과를 방문하여 진료를 받길 권합니다.
궁금증 해소에 도움이 되시길 바라며, 도움이 되신 경우 ‘추천’ 부탁드립니다. 감사합니다.
안녕하세요. 김철진 치과의사입니다.
구내염이나 임플란트 염증은 아닌거 같습니다. 그냥 잇몸에 상처가 좀 난거 같으니 너무 걱정하지 않으셔도 될것같습니다.
안녕하세요. 안상우 치과의사입니다.
잇몸에 상처가 있는듯 보입니다.
해당부위로 음식이 자극되거나 하지는 않았는지 확인해보는것이 좋습니다.
손상된 잇몸은 보통 2주정도 지나면 회복됩니다.
그이후에도 염증이 줄어들지 않는다면 치과에서 진료를 받는것이 좋습니다 .
안녕하세요. 김지훈 치과의사입니다.
임플란트 염증이면 붓고 피가나는 등의 증상이 나타납니다. 사진상으론 구내염으로 보입니다.

