의료상담
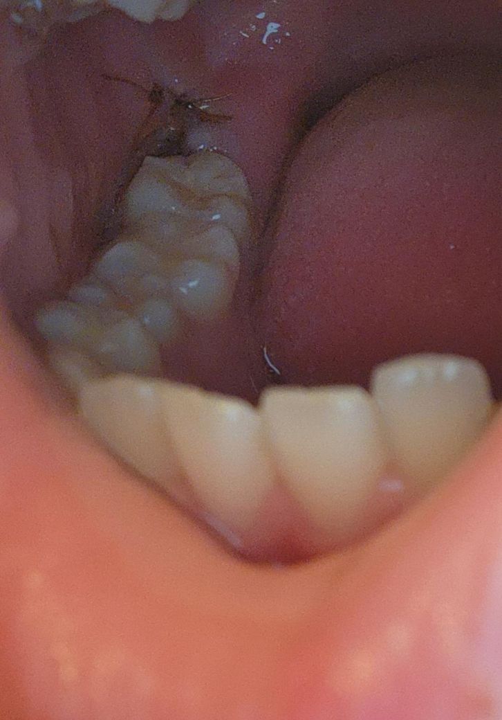
사랑니 봉합부분 표면에 노란색? 흰색같은게 생겼어요
어제 발치했고 오늘로 이틀차인데 봉합면에 하얗게? 뭐가 생겼어요. 양치하고 나서도 잠시 따가운데 정상인가요? 사진 화질도 안좋고 좀 어두워요..
55글자 더 채워주세요.
5개의 답변이 있어요!
안녕하세요. 김지훈 치과의사입니다.
사랑니 봉합부분 표면에 노란색? 흰색같은게 생길 수도 있습니다. 큰 문제는 아닐 것 같습니다.안녕하세요. 김철진 치과의사입니다.
사랑니 발치후에 실로 봉합을 해놓은곳에 음식물이 붙어서 그러는거니 너무 걱정하지마세요.
안녕하세요. 안상우 치과의사입니다.
잇몸이 아무는 과정에서 잇몸에 하얗게 가피등이 형성될수 있습니다 사진으로는 정확한 확인이 어려워 보이나 크게 문제가 있는것으로 보이지는 않습니다. 발치를 했다면 발치한 부위가 자극되지 않도록 하는것이 좋습니다
안녕하세요. 최석민 치과의사입니다.
잇몸 부위에 염증이 생긴 것으로 보입니다. 발치 후 발치 부위에 생길 수 있는 흔한 잇몸 염증입니다. 물 가글 살살해서 위생관리 잘해주시기 바랍니다.
안녕하세요. 송준범 치과의사입니다.
어제 발치하셨다면 불편하고 아플 수 있습니다. 사진상으로 보기에는 문제없이 잘 아물고 있으니 걱정하지 않으셔도 되겠습니다.

