의료상담
저의 상악 앞니에게 문제가 있을까요?
앞니가 약간 흔들리는거 같아요.
아래 앞니로 위 앞니를 밀면 흔들리는거 같아요.
그래서 치과에 가봤는데 잇몸 부은 것도 아니고
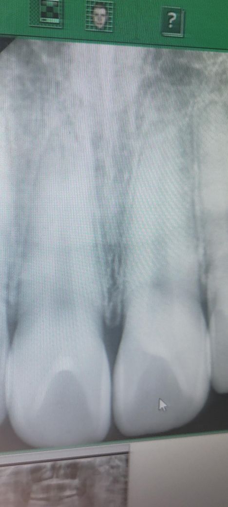
엑스레이상 문제도 없다는데 정말 문제가 없나요?
55글자 더 채워주세요.
5개의 답변이 있어요!
안녕하세요. 송우식 치과의사입니다.
x-ray 사진에서는 정상적인 치아 소견으로 보입니다. 피곤하거나 잇몸이 들뜨면 약간 흔들거리는 느낌이 일시적으로 올 수도 있습니다.
안녕하세요. 김철진 치과의사입니다.
엑스레이 상으로 앞니는 문제가 잇어 보이는건 없는거 같습니다. 크게 걱정은 안하셔도 될것같습니다.
안녕하세요. 김지훈 치과의사입니다.
위 사진 하나로는 판별하기는 어렵지만 특별히 문제가 보이지는 않습니다. 너무 신경안쓰시는 게 좋아보입니다.
안녕하세요. 정경호 치과의사입니다.
엑스레이 사진상 치아뿌리 부분이 보이지 않아 정확한 평가가 불가능합니다. 다만, 치아의 생리적인 동요도(움직임)이 존재하니 약간 흔들리는 정도는 괜찮습니다.
안녕하세요. 최석민 치과의사입니다.
원래 치아는 자연동요도가 있고 특히 기상직후 약간 느끼질정도로 움직임이 있습니다 다만 엑스레이 사진상 오른쪽 앞니 아주 미약하게 뿌리끝 염증이 보이는 것 같기도 하며 이로인한 동요일수도 있습니다

