아하
  • 토픽

  • 스파링

  • 잉크

  • 미션


의료상담

한참정많은시추

한참정많은시추

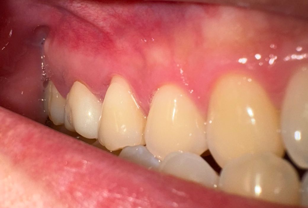
잇몸 상태 괜찮은가요 한번 봐주세요.

그냥 간단하게 봐주시면 됩니다

감사합니다 이빨 아픈곳은 따로 없구요

잇몸 색이나 제 건강상태가 갑자기 궁금해서요

감사합니다!!

  • 1번 째 사진
  • 2번 째 사진
  • 3번 째 사진
  • 4번 째 사진

3개의 답변이 있어요!

  • 김철진 치과의사

    김철진 치과의사

    가까운우리치과

    안녕하세요. 김철진 치과의사입니다.

    사진상으로는 크게 문제가 잇어 보이는건 없는거 같으니 정기적으로 치과를 다니시면서 스켈링 및 잇몸치료를 받으시면될것같습니다.

  • 안녕하세요. 안상우 치과의사입니다.

    사진으로 봤을 경우에는 크게 문제가 있어보이지는 않습니다.

    잇몸을 건강하게 유지하기 위해서는 양치질을 꼼꼼이 하고 치실을 사용해 주세요.

  • 안녕하세요. 최석민 치과의사입니다.

    잇몸 상태 괜찮은가요 한번 봐주세요 -> 현재로선 특별히 이상없습니다 1년에 한번 스케일링 받으세요