아핫뉴스실시간 인기검색어
아핫뉴스 화산 이미지
화산 아이콘 11
충주 외조모 살해 30대
아하

의료상담

치과

이미인상적인천사
이미인상적인천사

충치 치료 여부가 궁금합니다. 알고싶습니다.



이 부분 충치치료가 반드시 필요할까요?

아니면 양치질해보면서 지켜보는게 좋을까요 ?

치과 2곳을 갓는데 한곳은 치료하자하고 한곳은 지켜보자고 하십니다 ㅠㅠ

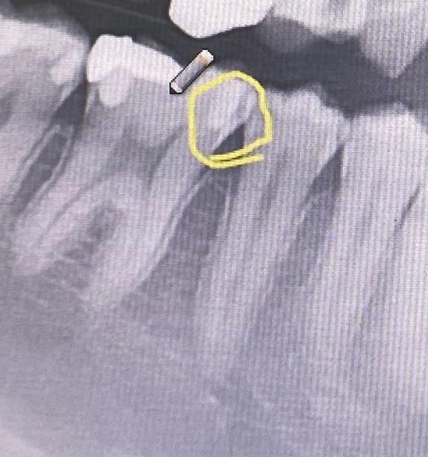
혹시 하얀색으로 된 부분 까지 썩은건가요????

  • 1번 째 사진
4개의 답변이 있어요!
  • 안녕하세요. 김지훈 치과의사입니다.

    엑스레이 사진만으로 판별을 하기는 어렵습니다만 조금 더 지켜봐도 될 것이라 생각합니다.

  • 안녕하세요. 김철진 치과의사입니다.

    예전에 치아 사이 레진치료를 하신거 같습니다. 치아 사이에 충치가 잇는거 같습니다. 육안상으로 진행되는 충치라면 치료를 하시는게 좋을것같습니다.

  • 안녕하세요. 송준범 치과의사입니다.

    사진이 좀 애매하긴합니다. 작은 사진을 찍어보면 조금 더 정확히 알 수 있겠습니다만 노란동그라미 안쪽 하얀 것은 예전에 때운 것으로 보이고 그 주변이 살짝 검긴한데 다른 방사선사진과 시진으로 평가해봐야할 것 같습니다.

  • 안녕하세요. 안상우 치과의사입니다.

    엑스레이 사진으로 많은 충치의 정도를 정확하게 파악하기 힘들어 보입니다. 충치가 크지 않다면 해당 부위를 치실로 관리를 하면서 사용을 할 수 있습니다.

    충치로 인해서 치아의 구조가 쉽게 깨질 수 있다면 치료를 해주는 것이 좋습니다.