아하
  • 토픽

  • 스파링

  • 잉크

  • 미션


의료상담

프로티인

프로티인

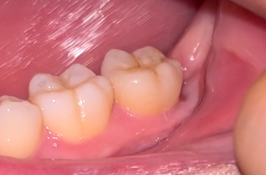
매복사랑니 발치 후 잘 아물은 걸까요?

안녕하세요 뿌리만 남겨놓은 매복사랑니 발치한지 한달이 되었습니다. 그림자인건지 아닌지는 잘 모르겠는데 아직 메꿔지지 않은 구멍이 있는 것 같아 보이기도 하고, 잇몸 짼 부위가 아직 색이 회색인 것 같아서 질문합니다.


잘 아물고 있는 걸까요? 혹시나 하는 마음에 밥 먹을 때 계속 반대편으로만 씹고 있습니다. 가끔가다 찌릿한 느낌이 들 때도 있습니다.





  • 1번 째 사진
  • 2번 째 사진

4개의 답변이 있어요!

  • 김지훈 치과의사

    김지훈 치과의사

    메가

    안녕하세요. 김지훈 치과의사입니다.

    잘아물고 있는 것으로 보이며 식사도 편하게 하셔도 괜찮습니다. 양치만 잘해주면 됩니다.

  • 안녕하세요. 김철진 치과의사입니다.

    매복사랑니 발치를 하신경우 잇몸 절개를 넓게 하셧고 잇몸뼈도 삭제를 햇기 떄문에 잇몸이 아무는데 시간이 좀 걸릴수 있습니다. 시간이 지나면 괜찮아 지실꺼에요.

  • 안녕하세요. 최석민 치과의사입니다.

    잇몸 초기 치유는 어느정도 이뤄진 것 같습니다. 초기 치유는 1~2주 정도 걸리고요. 그 이후로도 2~3달 정도 잇몸이 완전히 치유되고 내부의 잇몸뼈가 차오르는 기간이 걸립니다. 잇몸 초기 치유 정도만 잘 지났다면 해당 부위로 너무 무리하지 않는 선에서 음식 드셔도 괜찮습니다.

  • 안녕하세요. 송우식 치과의사입니다.

    현재 사진상으로는 잘아물고 있는 것으로 보이며, 비어있는 구멍은 시간이 지남에 따라 잇몸이 차오르게 됩니다.

    궁금증 해소에 도움이 되시길 바라며, 도움이 되신 경우 '추천' 부탁드립니다.