아하
  • 토픽

  • 스파링

  • 잉크

  • 미션


의료상담

영원히물러서지않는불가사리

영원히물러서지않는불가사리

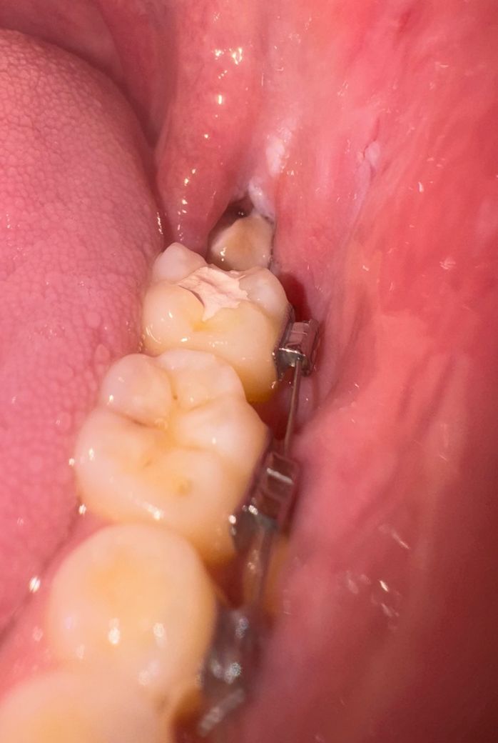
사랑니 뽑은지 3일차 입니다 혹시 드라이 소켓일까요?

사랑니 뽑은지 3일치 입니다 드라이소켓 증상 중 통증이 심하다던데 약간 열감이 있는 정도입니다

사진으론 잘 안 보이는데 좀 더 깊고 안에는 조금 검은색입니다..

  • 1번 째 사진

2개의 답변이 있어요!

  • 최석민 치과의사

    최석민 치과의사

    강원도 원주의료원

    안녕하세요. 최석민 치과의사입니다.

    드라이소켓 증상은 다양합니다. 극심한 통증, 악취 내지는 회색빛 지저분한 양상의 잇몸 불완전 치유를 보입니다. 사진상이나 증상으로 봤을때 드라이소켓과는 거리가 있어보입니다.

  • 안녕하세요. 김철진 치과의사입니다.

    사랑니 발치한곳에 음식물이 들어가 잇는 상태 같습니다. 치과에 가셔서 소독을 한번 받아보시는게 좋을것같습니다.