아하
  • 토픽

  • 스파링

  • 잉크

  • 미션


인일시지분 면백일지우

인일시지분 면백일지우

비인두협착 비인두염 비인두암 관련 질문

반려동물 종류

강아지

질문1. 강아지 비인두염 비인두암 각 증상들이 어떤 증상들이 있나요?

질문2. 비인두협착 다이어트 살빼면 좋아지나요?

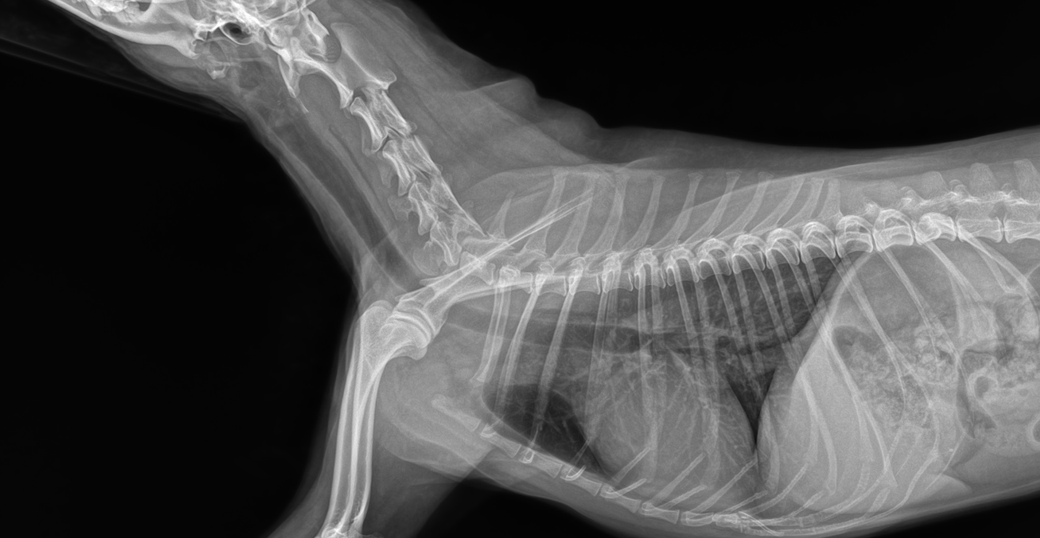
질문3. 해당 사진 2장으로 비인두 협착이 있다고 수의사분께서 그러셨습니다 증상이 심한편인가요?

언제나 항상 감사합니다..


1개의 답변이 있어요!

  • 이은수 수의사

    이은수 수의사

    프리랜서

    안녕하세요. 이은수 수의사입니다.

    1. 잔기침의 지속, 호흡곤란, 각혈 등의 증상이 일어날 수 있고 지속 기간에 따라 합병증의 증상은 다양할 수 있습니다.

    2. 도움이 될 수는 있지만 협착의 원발적 발생원인에 따라 아무 효과도 없을 수 있습니다.

    3. 첫번째 사진에서 의심 딱 그정도만 할 뿐이지 진단적인 의미가 크지 않은 사진입니다. C-arm검사 및 CT검사가 필요합니다.