사랑니 발치 후 옆 어금니 신경에 염증이 생길 수 있나요?
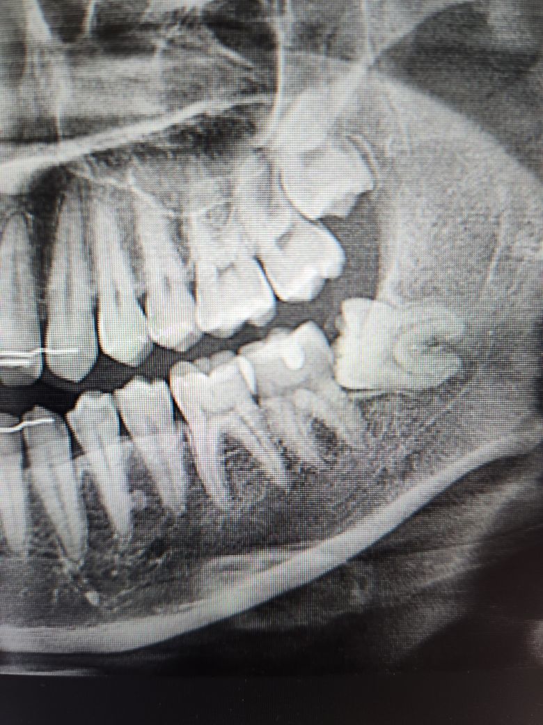
하악 38번 발치한지 10일차인데 첫주에는 별 증상 없다가 9일차부터 37번부터 그 주변 잇몸, 턱, 볼이 너무 아팠습니다. 시린거야 구멍 뚫려있으니까 그렇다 치는데 진짜 자다 깨고 두통이 올 정도로 아팠어요. 그래서 10일차인 오늘 발치한 치과가 아닌 일반 치과에 방문했는데 의사쌤이 37번 뿌리가 많이 노출되어 있다면서 익스플로러로 37번 콱 찍어보니까 진짜 자지러질정도로 아팠습니다. 의사쌤이 이정도 반응이면 아래 염증이 있는걸 수도 있다고 신경치료가 필요할 수도 있다고 하셔서 다른 보존전문쌤이 오셔서 엑스레이 찍었는데 엑스레이 상으로는 조금 애매하고 이걸 신경치료하긴 조금 치아가 아까우니 소염제랑 항생제 먹으면서 조금 지켜보자더군요. 제가 충치 있냐고 하니까 충치도 없어보인다고 하시구요. 발치할 때 염증반응도 없었는데 발치하고 나서 옆 치아에 염증이 생길 수 있나요? ㅠㅠ… 신경치료는 진짜 하기 싫은데 ㅠㅠ.. 시간이 지나면 통증이 좀 없어질까요? ㅠ 사진은 뽑기 전 사진이에요
안녕하세요. 송우식 치과의사입니다.
제가 판단하기에는 어금니라기 보다는 사랑니 뺀 자리에 염증이 생겨 어금니가 아픈 것으로 헷갈릴 가능성이 많아 보입니다. 일단은 사랑니 뺀 자리가 더 아물기를 기다려 보는 것이 좋으며, 가장 흔한 것은 사랑니 뺀 자리에 염증이 생기는 치조골염(드라이 소켓) 입니다. 이런 치조골염은 따로 치료하면 좋아집니다.
안녕하세요. 김지훈 치과의사입니다.
지금 올려주신 사진보다는 발치 후 새로 찍은 사진이 도움이 됩니다. 현재로선 약 처방 후 지켜보시는게 최선 같습니다.
안녕하세요. 김철진 치과의사입니다.
사진을 보면 사랑니 빼고 나서 사랑니 앞쪽 치아 아래쪽에 충치가 생겨서 그럴가능성이 있어 보입니다. 저 부위에 충치가 생기면 신경치료를 해야될 가능성이 있습니다.
안녕하세요. 안상우 치과의사입니다.
사랑니를 발치하고 나면 옆의 치아의 뿌리가 노출되어있기 때문에 일시적으로 치아에 자극이 될수 있습니다.
이런자극이 치아에 일시적으로 염증이 생길수 잇습니다.
이런 염증이 시간이 지나면서 줄어들면 불편감이 줄어드는 경우가 있습니다.
안녕하세요. 최석민 치과의사입니다.
1. 사랑니가 부분매복으로 옆으로 누워있었기 때문에 아무래도 옆의 치아(37번)에 영향(치근흡수, 충치)을 주고 있었을 가능성도 있습니다.
2. 저 사진상에서는 38번과 37번 뿌리끝 염증이 약간 존재하고 있던 것으로 보여집니다.
3. 익스플로러로 37번 치아 주위를 확인(탐침)해봤을 때 상당히 찌릿한 느낌이 들었다면 치아에 금이 갔을 확률도 있습니다.
4. 일단은 진통제로 통증 조절을 좀 해보시고 그래도 계속해서 아프다면 치과에 뽑기 전 사진(원본)도 같이 가져가서 상담을 받아보시면 좋을 것 같습니다. 뽑은 뒤의 파노라마 사진상으로는 발치와(발치공간) 빈공간이 남아 있기 때문에 원래 뽑기 전 38번에 염증이 존재했었다는걸 알기 어렵습니다. 뿌리끝 염증이 있는 치아 발치 후에는 보통 염증 제거 및 소파술을 더 철저히 해줍니다.
5. 발치와재소파술이 필요할 가능성도 있겠습니다.

