아하
  • 토픽

  • 스파링

  • 잉크

  • 미션


의료상담

탈퇴한 사용자

탈퇴한 사용자

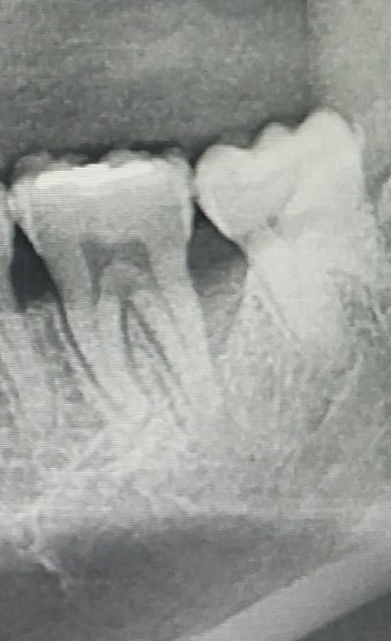
사랑니로 인한 잇몸염증이 발생하여 질문 드립니다

명절 중 사랑니와 맞닿은 어금니 부위 잇몸에 물집이 크게 잡혀 진료를 받아보니, 염증이 가라앉은 후 사랑니 발치하고 이 후에 맞닿은 어금니의 치료를 진행하여야 한다고 하셨습니다. 제가 오랫동안 사랑니를 방치한 상태로 유지하여 사랑니와 어금니 사이의 치조골이 많이 손상된 상태라고 하셨는데 이 후 어떤 치료를 받게 될까요? 발치까지 이어질 가능성이 있나요? ㅠㅠ

  • 1번 째 사진

3개의 답변이 있어요!

  • 김철진 치과의사

    김철진 치과의사

    가까운우리치과

    안녕하세요. 김철진 치과의사입니다.

    사진상으로 보면 뒤에서 두번째 치아 잇몸이 많이 안좋습니다. 최대한 사용하실때까지 사용하다가 발치를 하셔야될수도 있습니다.

  • 안녕하세요. 최석민 치과의사입니다.

    어금니 원심측 잇몸뼈가 염증으로 녹아있는 상태이고 잇몸치료는 받아봐야 합니다 현재로선 증상없으면 발치는 안해도 됩니다 치아 원인이 아닙니다

  • 안녕하세요. 안상우 치과의사입니다.

    사랑니로 인해서 인접치아에 문제를 발생시키고 있다면 인접치아를 사랑니를 발치하는것이 좋습니다.

    해당부위에 이물질이 남아 있게 되어 치조골이 내려간것일수 있기 때문입니다.