아하
  • 토픽

  • 스파링

  • 잉크

  • 미션


의료상담

보람찬재칼24

보람찬재칼24

25.05.10

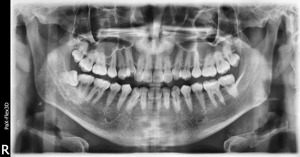
사랑니 옆 어금니 충치 여부를 확인할 수 있는 방안이 있나요?

사랑니를 빼고 의사쌤이 긁더니 딱딱해서 충치가 아닐수도 있다네요. 치경을 사서 해봐도 확인이 어렵습니다. 따로 할수있는 장비나 병원이 따로 있을까요?

  • 1번 째 사진

4개의 답변이 있어요!

  • 김지훈 치과의사

    김지훈 치과의사

    메가

    25.05.11

    안녕하세요. 김지훈 치과의사입니다.

    사랑니를 빼고 의사쌤이 긁더니 딱딱해서 충치가 아닐수도 있다네요. 치경을 사서 해봐도 확인이 어렵습니다. 따로 할수있는 장비나 병원이 따로 있을까요?

    -> 일반치과에서도 진단 가능합니다. cT 찍어봐도 됩니다.

  • 안녕하세요. 김철진 치과의사입니다.

    사진상으로는 충치가 잇어 보입니다. 하지만 정확하게 보려면 사랑니 발치를 하고나서 확인을 다시 해보셔야될것같습니다.

  • 안녕하세요. 최석민 치과의사입니다.

    사랑니 옆 아래 어금니 충치 있어보이는데요 치근단 사진 찍어보면 좀 더 정확히 알 수 있습니다

  • 안녕하세요. 안상우 치과의사입니다.

    충치를 진단하는 방법은 여러 가지가 있습니다. 우선 방사선 사진으로 확인을 해볼 수 있으며 육안으로 확인해볼 수 있습니다. 도구로 변색된 부분을 긁었을 때 단단하다면 정지된 충치의 가능성이 높기 때문에 치료가 필요하지 않을 수 있습니다.

    자세한 확인을 위해서 치과에서 진료를 받아보는 것을 권유드립니다.