아하
  • 토픽

  • 스파링

  • 잉크

  • 미션


의료상담

정겨운얼룩말169

정겨운얼룩말169

치아 닳는거에 대해 질문 드립니당



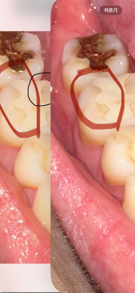
치과에서 이빨을 다듬어주셨는데 원장님이 잘못 이해하고 다른곳 멀쩡한 부분을 다듬어주셨습니다.. 그래서 더 파여보입니다 ㅠㅠ 혹시나 치아가 더 빨리 닳게되거나 다른 문제가 생길수도 있을까요? 오른쪽이 치료 후 입니다 제발 답변 부탁드립니다 ㅜㅜ

  • 1번 째 사진

4개의 답변이 있어요!

  • 김지훈 치과의사

    김지훈 치과의사

    메가

    안녕하세요. 김지훈 치과의사입니다.

    사진상으로는 문제가 보이지 않습니다. 치과의사 선생님께 불편사항이 있으면 직접 여쭤보시는 게 좋겠습니다.

  • 안녕하세요. 송우식 치과의사입니다.

    현재사진상으로는 크게 이상이 있어 보이지는 않습니다. 만약 현재 불편감이 있는 경우에는 다시 방문하여 조정을 받길 권합니다.

    궁금증 해소에 도움이 되시길 바라며, 도움이 되신 경우 '추천' 부탁드립니다.

  • 안녕하세요. 김철진 치과의사입니다.

    교합조정을 하신거 같은데 보철물을 다듬엇다고 문제가 되는건 아니니 너무 걱정은 안하셔도 될것같습니다.

  • 안녕하세요. 최석민 치과의사입니다.

    보철물에 대한 교합조정을 받으신거 같은데 보철물 교합조정은 치아를 갈아내는 것이 아니고 보철물을 조금 다듬는 것입니다

    그러한 정상적인 교합조정으로는 치아가 빨리 닳게 되거나 하는 등의 문제가 생기진 않습니다