아하
  • 토픽

  • 스파링

  • 잉크

  • 미션


의료상담

한참믿을만한살모사

한참믿을만한살모사

25.05.07

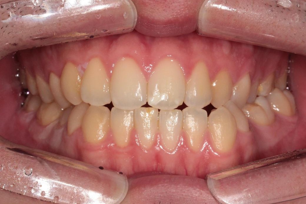
잇몸이식술 해야되는지 궁금합니다.

잇몸퇴축이 조금 진행된거 같은데 잇몸이식술 해야할까요? 증상은 숨쉴때 조금 시린거 말고는 없긴 합니다. 다만 타고난 잇몸이 조금 얇다네요

  • 1번 째 사진

4개의 답변이 있어요!

  • 안상우 치과의사

    안상우 치과의사

    목동안치과의원

    25.05.09

    안녕하세요. 안상우 치과의사입니다.

    사진으로만 봤을 경우에는 잇몸 퇴축이 심하게 이루어진 것으로 보이진 않습니다. 마모증이 있는 경우에는 치아의 시린 느낌이 들 수 있는데 마모증이 있다면 마모증이 있는 부위를 치과용 재료로 충전해 주는 것이 좋을 수 있습니다.

    자세한 확인을 위해서 치과에서 진료를 받아보는 것을 권유드립니다.

  • 안녕하세요. 김철진 치과의사입니다.

    사진상으로 잇몸에 문제가 잇거나 퇴축된것처럼 보이진 않으니 관리를 잘하시면 될것같습니다.

  • 안녕하세요. 김지훈 치과의사입니다.잇몸퇴축이 조금 진행된거 같은데 잇몸이식술 해야할까요? 증상은 숨쉴때 조금 시린거 말고는 없긴 합니다.

    -> 그정도로 보이지는 않습니다.

  • 안녕하세요. 최석민 치과의사입니다.

    잇몸퇴축이 조금 진행된거 같은데 잇몸이식술 해야할까요? 증상은 숨쉴때 조금 시린거 말고는 없긴 합니다. 다만 타고난 잇몸이 조금 얇다네요 -> 잇몸 퇴축 심하지 않으며 잇몸이식술 할 필요 전혀 없습니다