홈
토픽
스파링
잉크
미션
전문가 신청
베리몰
나도 질문하기
반려동물
궁금해죽겠는공주
반려동물 종류
강아지
품종
말티푸
성별
수컷
나이 (개월)
1
몸무게 (kg)
2
중성화 수술
1회
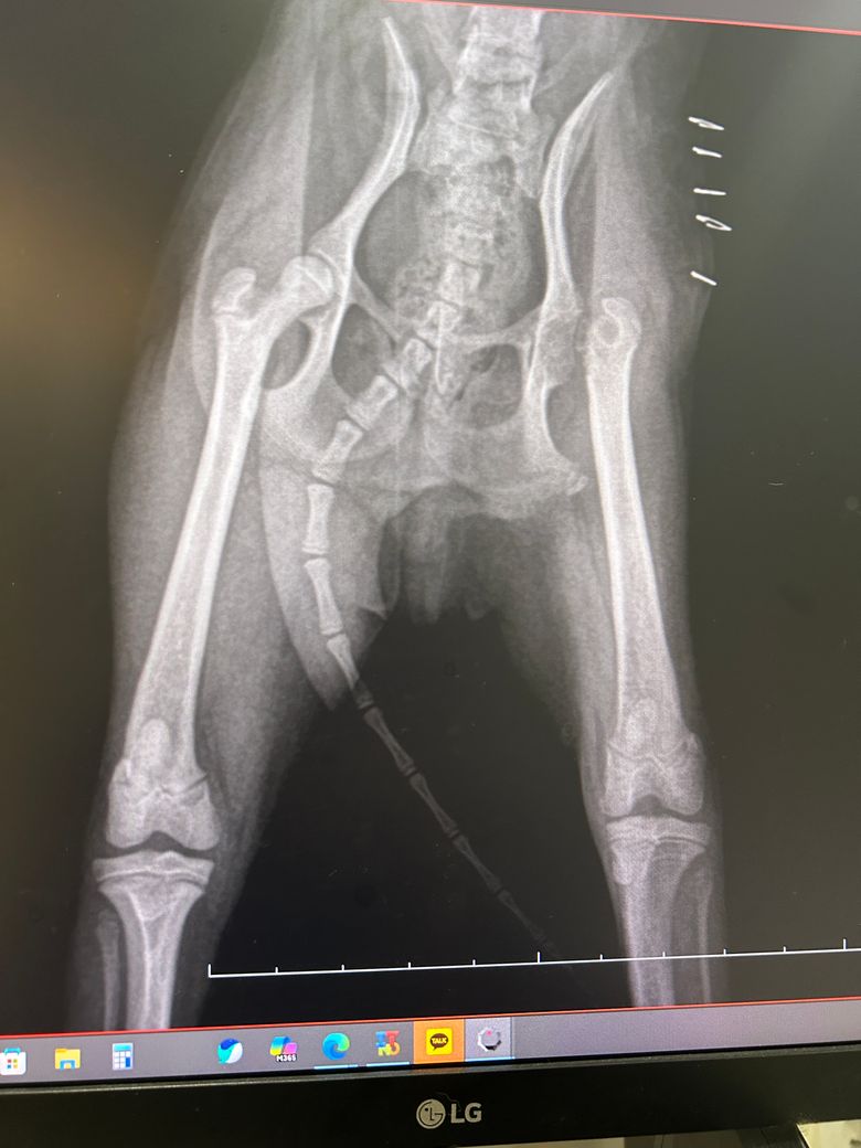
지난번 오른쪽 대퇴골두 절단술 받았습니다
엑스레이상 반대쪽도 혹시 의심 소견 있을까요?
ㅠㅠ의견 주세여
부탁드려요~~!!!!
1개의 답변이 있어요!
이은수 수의사
프리랜서
∙
안녕하세요. 이은수 수의사입니다.
가능성은 낮아보이지만 올려준 사진 자체가 방사선 원본이 아니라 모니터를 촬영한 사진이라 정확한 판단에 어려움이 있습니다. 그리고 시간이 지났다면 지금 현 시점 사진이 더 중요하니 방사선 재촬영을 하시기 바랍니다.
5.0 (1)
응원하기