아하
  • 토픽

  • 스파링

  • 잉크

  • 미션


의료상담

거대한고슴도치262

거대한고슴도치262

25.06.18

치과를 옮겼습니다 치료견해가 달라질수 있나요?

안녕하세요

작년 연말 회사근처 치과에서 필요한 충치치료를 모두 마쳤습니다

이직을 하게되어서 다니던 치과를 바꿨습니다

스켈링도 할겸 새로 옮긴 치과에서 사진을 찍었는데 5개의 충치가 치료를 요한다고 하더라구요

불과 2달전에만 해도 다니던 치과에서 언급이 없었고 작년에도 얼핏 정지우식인가? 지금당장 치료할필요가 없다고 들었습니다

근데 6개월만에 충치가 자라난것인지?

그때 발견하지 못한 충치가 있었던것인지?

헷갈리네요

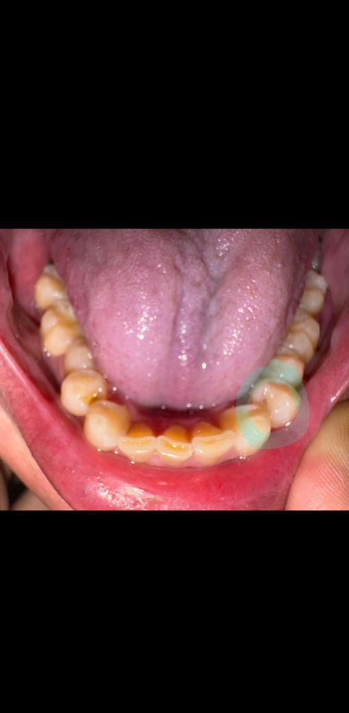
예를들어 아래사진에 해당되는 치아는

바로 레진을 하자고 하는데

적절한 조치인지 여쭤봅니다

(폰으로 찍은사진)

(치과에서 찍은사진)

(이번에 찍은 엑스레이)

  • 1번 째 사진
  • 2번 째 사진
  • 3번 째 사진

3개의 답변이 있어요!

  • 김철진 치과의사

    김철진 치과의사

    가까운우리치과

    25.06.18

    안녕하세요. 김철진 치과의사입니다.

    초기 충치라서 관리를 하라고 햇지만 시간이 지나면서 충치가 진행되서 치료를 권유하신거 같습니다.

  • 안녕하세요. 안상우 치과의사입니다.

    사진으로는 정확한 확인이 어려워 보입니다. 치아 표면에 단순한 착색이나 진행이 되지 않는 매우 작은 크기의 충치는 치료를 할 필요가 없습니다. 이런 작은 충치도 예방 차원에서 치료를 한다면 추가적인 충치가 있다고 이야기할 수도 있을 것으로 생각됩니다.

  • 안녕하세요. 최석민 치과의사입니다.

    1. 충치에 대한 진단은 치과의사마다 주관이 개입되는 부분이 있으며, 충치에 대해 바로 치료를 할지 지켜볼지 또한 치과의사 스타일마다 다릅니다. 만약 본인이 느끼기에, 평소 생활하는데 불편함이 전혀 없고 치료를 원치 않는다면 좀 더 치료를 보수적으로, 천천히 하는 스타일의 다른 치과 가시면 됩니다. 본인에게 맞는 스타일의 치과의사 찾는 것도 중요합니다. 치과 그냥 한번 가는게 아니고 계속 정기적으로 다니셔야 하는데 잘 맞지도 않는 치과가서 마음 고생할 필요 없잖아요.

    2. 육안으로 안보고 사진만 보고 치료 진행 관련 의견을 드리면 더 부정확하고, 혼란만 가중시킬 것 같네요.

    3. 사진상 충치의 소견을 보이는 치아가 있긴 합니다.

    4. 6개월 새 충치 진행이 되기도 합니다.